
Firma Philips dostrzega potrzebę kompleksowych rozwiązań onkologicznych, które pozwolą na integrację opieki na wszystkich etapach leczenia pacjenta. Od rozpoznania i oceny stadium zaawansowania, przez podejmowanie decyzji terapeutycznych i planowanie leczenia, aż do etapu monitorowania pacjenta — we wszystkich tych fazach firma Philips pomaga pokonywać wyzwania terapii onkologicznych przez dostarczanie rozwiązań stosowanych na każdym etapie opieki nad pacjentem.
Środki z KPO na poprawę dostępu i jakości opieki onkologicznej Ministerstwo Zdrowia uruchomiło program wsparcia dla szpitali zakwalifikowanych do Krajowej Sieci Onkologicznej (KSO). O środki, w łącznej wysokości 5.2 miliarda złotych, można aplikować od 17 października do 2 grudnia 2024 r.
Wypełnij formularz, abyśmy mogli się z Tobą skontaktować.











Zobacz jak tomograf spektralny pomaga w diagnostyce pacjentów onkologicznych. Bez dodatkowej dawki promieniowania!

Odkryj tomograf CT 5300, a wraz z nim nowy poziom pewności diagnostycznej, sprawniejszy przebieg pracy i wartość na lata.

Tomograf Incisive CT łączy w sobie rozwiązania z zakresu obrazowania, przebiegu pracy i zarządzania okresem eksploatacji, pomagając poprawić komfort pacjentów i personelu, wspomagając podejmowanie trafnych decyzji diagnostycznych i zwiększając wydajność pracy.

MR 5300 jest podstawowym modelem rezonansu magnetycznego o polu 1,5T w portfolio Philips. Jego serce stanowi magnes BlueSeal (z obsługą bez-helową) o największym w swej klasie polu obrazowania (55 cm w osiach XY) i doskonałej jednorodności pola. MR 5300 wyposażono w technologie wspierane sztuczną inteligencją3, które automatyzują najbardziej złożone zdania kliniczne. MR 5300 jest doskonałym rozwiązaniem dla jednostek wykonujących rutynowo badania onkologiczne. Może być wyposażony opcjonalnie w najnowsze rozwiązania: Smart Speed - opcję skracania czasu badań przy jednoczesnej poprawie ich jakości, np. dzięki opcji obrazowania typu „Motion Free”, a także VitalEye - unikalne i szczególnie ważne w badaniach onkologicznych, ultra-precyzyjne, bez-obsługowe i bez-dotykowe monitorowanie oddechu pacjentów przy pomocy światła podczerwonego.

System Ingenia Elition X firmy Philips oferuje zaawansowane techniki obrazowania MR i wyznacza nowe standardy klinicznych badań onkologicznych z użyciem pola o sile 3,0 T. Dzięki nowatorskim rozwiązaniom układu gradientowego o niemal 100% powtarzalności oraz unikalnej technologii dwukanałowego nadajnika RF Multi Transmit, zapewnia wyjątkową jakość obrazowania i umożliwia skrócenie czasu badań MR nawet o 50%2, z pełnym wykorzystaniem zalet systemu 3,0T. Ingenia Elition dedykowany jest do zaawansowanej diagnostyki onkologicznej, w szczególności badań wymagających wysokiej rozdzielczości przestrzennej i czasowej, oferując unikalne możliwości, np. specjalistyczną sekwencję 3D APT do określania stopnia złośliwości glejaków.

Philips SmartSpeed to gwarancja szybkości i wysokiej jakości obrazowania szerszej grupy pacjentów, w tym pacjentów odczuwających ból, pacjentów, którzy nie są w stanie wstrzymać oddechu lub mają wszczepione implanty warunkowo dopuszczone do obrazowania MR.

System Ingenia Ambition X, o sile pola 1,5T, dedykowany jest do zaawansowanej diagnostyki onkologicznej, w szczególności badań piersi, prostaty, a także badań
przesiewowych całego ciała. Charakteryzuje się wysokimi parametrami układu gradientowego i największym w swej klasie polem obrazowania, przy zachowaniu
doskonałej jednorodności pola. Ambition X to oparte na nowym, rewolucyjnym, szczelnie zamkniętym magnesie BlueSeal umożliwia efektywniejsze wykonywanie
badań MR1 ze względu na brak konieczności uzupełniania helu. Standardowo wyposażony jest w technologię VitalEye do monitorowania oddechu i materace ComfortPlus poprawiające komfort pacjentów i jakość wykonywanych badań.

MR 7700 jest topowym system o polu 3,0T z wydajnymi gradientami XP (amplituda 65 mT/m, szybkość narastania 220 T/m/s), wykorzystującym w szerokim zakresie algorytmy sztucznej inteligencji3. Stanowi przełomowe rozwiązanie do obrazowania z siłą pola 3,0 T, dedykowane najbardziej wymagającym użytkownikom, poszukującym systemów nie tylko do codziennej pracy, ale również do prac naukowo-badawczych. MR 7700 jest pierwszym systemem na rynku MR wyposażonym w moduł spektroskopii wielo-jądrowej, w pełni zintegrowanej i certyfikowanej CE, co pozwala poszerzyć diagnostykę pacjentów o dodatkowe sekwencje, np. spektroskopii fosforowej, a także map izotopów sodu i węgla.

Metoda 3D APT umożliwia odpowiednio przeszkolonym specjalistom rozróżnianie między uwidocznionymi na obrazach glejakami o niskim i wysokim stopniu złośliwości oraz odróżnianie zmian związanych z rozwojem nowotworu od zmian będących skutkiem leczenia4.

Philips Ultrasound EPIQ Elite to nowy kierunek dla ultrasonografii Premium, oferujący wyjątkowy poziom wydajności klinicznej, aby sprostać wyzwaniom dzisiejszych, najbardziej wymagających praktyk. Wyposażony w zaawansowane nowoczesne technologie typu nSIGHT, PureWave, xMatrix oraz narzędzia m.in.:
MicroFlow, Flow Viewer, elastografia typu Strain oraz Shear Wave, badania z użyciem kontrastu, fuzje obrazów US z CT/MRI/PET zapewnia zupełnie nowy poziom
pewności diagnostycznej.

Ultrasonograf EPIQ CVx jest dedykowanym i wysokowydajnym rozwiązaniem do echokardiografii, które łączy doświadczenie firmy Philips w dziedzinie kardiologii ze sprawdzonymi rozwiązaniami z zakresu analizy ilościowej firmy TOMTEC. Urządzenie to pozwala na rozszerzenie wachlarza świadczonych usług, usprawnienie przebiegu badań układu sercowo-naczyniowego i podniesienie poziomu opieki.

Bez kompromisów. Łatwy w użyciu. Mobilny. Wszechstronny. Nowy system ultrasonograficzny Compact seria 5000 wyposażony jest w zaawansowane funkcje diagnostyczne, współpracuje z 23 głowice, w tym głowice PureWave oraz zapewnia znakomitą jakość obrazowania. Niezależnie od tego, czy posiadasz system ultrasonograficzny Philips EPIQ czy Affiniti, na serii Compact 5000 pracujesz dokładnie tak samo.

Rodzina aparatów usg Philips: Affiniti 30, Affiniti 50, Affiniti 70 pozwala na skalowalny wybór narzędzi diagnostycznych w zależności od potrzeb placówki. Uniwersalność urządzeń Philips Affiniti zapewnia najwyższą jakość diagnostyczną we wszystkich obszarach klinicznych od badań ogólnoradiologicznych poprzez badania echokardiograficzne aż po zaawansowane i najnowsze techniki obrazowe. Platforma umożliwia rekordową liczbę 32 specjalistycznych głowic możliwych do podłączenia.

Dowiedz się więcej o ultrasonografach Philips dedykowanych do zaawansowanych badań kardionkologicznych i onkologicznych. Rozwiązania Philips łączą wysokiej jakości obrazowanie z dostosowanymi narzędziami klinicznymi, aby pomóc w postawieniu pacjentom diagnozy niezbędnej do walki z rakiem.

Szybkość badań i pewność diagnostyczna nie muszą się wykluczać. Wszechstronność systemu radiografii cyfrowej Radiography 7300 C firmy Philips pozwala osiągnąć oba te cele. Można bez problemu przebadać więcej pacjentów w ciągu dnia5, ograniczyć czasochłonne powtarzanie badań i skupić się bardziej na pacjentach.

CombiDiagnost R90 to zdalnie sterowany system do fluoroskopii i nowoczesny system radiografii cyfrowej w jednym, zaprojektowany z myślą o efektywniejszym wykorzystaniu przestrzeni pracowni bez ponoszenia wysokich kosztów.
Radiography 7000 M to najwyższej klasy mobilny system radiograficzny opracowany z myślą o usprawnieniu badań i zwiększeniu efektywności pracy. Jego zaawansowana konstrukcja zapewnia długi czas pracy na baterii, bezproblemowe przemieszczanie i komfortowe pozycjonowanie do badań radiograficznych.

Platforma zapewniająca wysoką dokładność niezależnie od lokalizacji zmian w płucach i stanu klinicznego. Pomaga zaoszczędzic czas w pobraniu biopsji, znakowaniu guza oraz terapii na jednej sali.

Nasze systemy z detektorem płaskim czwartej generacji zapewniają wyjątkową ostrość i elastyczność obrazowania podczas przeprowadzania szerokiej gamy zabiegów. Systemy te należą do rodziny mobilnych ramion C Zenition - serii o ujednoliconej konstrukcji, potwierdzonej łatwości użytkowania oraz potencjalnej rozbudowy o nowe funkcje.

Azurion Onco Suite to rozwiązanie w zakresie terapii obrazowej. Zapewnia kompleksowe rozwiązanie do planowania i prowadzenia zabiegów embolizacji, a także biopsji i ablacji.

Zmotoryzowany i niezwykle szybki system serii 9000 z mobilnym ramieniem C – Zenition 90 Motorized firmy Philips jest intuicyjny w obsłudze i dostarcza najwyższej klasy obrazy na potrzeby najtrudniejszych zabiegów. System automatyzuje przebieg pracy dzięki wszechstronnym możliwościom ruchu, elementom sterowania obrazem i zaawansowanym rozwiązaniom na poziomie oprogramowania.

System AVW oferuje pełen zestaw aplikacji do post-processingu obrazów wykonanych różnymi metodami obrazowania na etapie badań przesiewowych, diagnostycznych, badań wykonywanych na potrzeby planowania radioterapii oraz badań kontrolnych w całym okresie diagnostyki i leczenia pacjentów nowotworowych.
Wypełnij formularz, abyśmy mogli się z Tobą skontaktować.

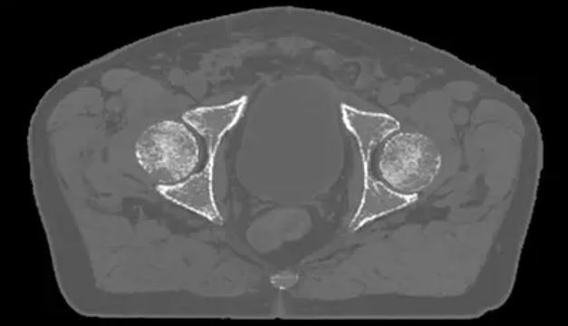
Kompleksowe rozwiązanie do obrazowania MR, zaprojektowane z myślą o planowaniu leczenia, które ułatwia planowanie radioterapii, pozwalając na dokładniejsze określenie lokalizacji guza i struktur krytycznych.
MRCAT Pelvis umożliwia planowanie radioterapii przy użyciu MR jako rozwiązania w ramach jednej metody. W ciągu zaledwie jednego badania MR MRCAT Pelvis zapewnia doskonały kontrast tkanek miękkich do wyznaczania celu i OAR oraz ciągłe jednostki Hounsfielda do obliczania dawki.

Zobacz jak tomograf spektralny pomaga w diagnostyce pacjentów onkologicznych. Bez dodatkowej dawki promieniowania!
Zastosowanie kliniczne MRCAT Brain umożliwia wykorzystanie MR jako podstawowej metody obrazowania w planowaniu radioterapii guzów pierwotnych i przerzutowych w mózgu bez konieczności wykonywania tomografii komputerowej.

Metoda 3D APT umożliwia odpowiednio przeszkolonym specjalistom rozróżnianie między uwidocznionymi na obrazach glejakami o niskim i wysokim stopniu złośliwości oraz odróżnianie zmian związanych z rozwojem nowotworu od zmian będących skutkiem leczenia4.

Platforma symulacyjna Philips Ingenia MR-RT z pakietem symulacyjnym MR-linac stanowi idealne uzupełnienie Elekta Unity. Dzięki spójnemu przebiegowi pracy i jakości obrazu, od symulacji MR po wskazówki dotyczące MR online podczas radioterapii, pozwala wykorzystać wiele podobieństw i synergii pomiędzy urządzeniami Philips Ingenia MR-RT i Elekta Unity.

Platforma zapewniająca wysoką dokładność niezależnie od lokalizacji zmian w płucach i stanu klinicznego. Pomaga zaoszczędzic czas w pobraniu biopsji, znakowaniu guza oraz terapii na jednej sali.

Nasze systemy z detektorem płaskim czwartej generacji zapewniają wyjątkową ostrość i elastyczność obrazowania podczas przeprowadzania szerokiej gamy zabiegów. Systemy te należą do rodziny mobilnych ramion C Zenition - serii o ujednoliconej konstrukcji, potwierdzonej łatwości użytkowania oraz potencjalnej rozbudowy o nowe funkcje.

Azurion Onco Suite to rozwiązanie w zakresie terapii obrazowej. Zapewnia kompleksowe rozwiązanie do planowania i prowadzenia zabiegów embolizacji, a także biopsji i ablacji.

Zmotoryzowany i niezwykle szybki system serii 9000 z mobilnym ramieniem C – Zenition 90 Motorized firmy Philips jest intuicyjny w obsłudze i dostarcza najwyższej klasy obrazy na potrzeby najtrudniejszych zabiegów. System automatyzuje przebieg pracy dzięki wszechstronnym możliwościom ruchu, elementom sterowania obrazem i zaawansowanym rozwiązaniom na poziomie oprogramowania.

Systemy monitorowania pacjentów firmy Philips oferują niezawodność i możliwość kompleksowej oceny danych. Zostały zaprojektowane tak, aby umożliwiać dokładne i precyzyjne pomiary, co przekłada się na pewność podczas podejmowania decyzji klinicznych.

Firma Philips pomaga szybko i sprawnie reagować w nagłych przypadkach niezależnie od miejsca ich wystąpienia. Oferujemy szeroką gamę innowacyjnych, opartych na badaniach naukowych rozwiązań w dziedzinie medycyny ratunkowej i resuscytacji.
1 W porównaniu z magnesem ZBO systemu Ingenia 1.5T. 2. W porównaniu ze skanami uzyskanymi za pomocą systemów firmy Philips bez technologii Compressed SENSE. 3. Zgodnie z definicją sztucznej inteligencji opracowaną przez grupę ekspertów na szczeblu UE. 4. Zhou i wsp., Nat Med 9, 1085-1090 (2003); Zhou i wsp., Magn Reson Med 50, 1120–1126 (2003); Jones i wsp., Magn Reson Med 56, 585–592 (2006). 5. Więcej o 15 pacjentów dziennie, o 8 godz. mniej nadgodzin w tygodniu i uniknięcie ok. 28 powtórnych ekspozycji na tydzień (w porównaniu do poprzedniego wydania systemu DigitalDiagnost i przy założeniu 100 pacjentów dziennie; rzeczywiste wyniki w innych przypadkach mogą się różnić). 6. Produkt sprzedawany przez Elekta. Niniejsze informacje handlowe nie stanowią oferty w rozumieniu art. 66 § 1 Kodeksu cywilnego. Informacje handlowe przeznaczone są wyłącznie dla profesjonalnych podmiotów prowadzących działalność w obszarze ochrony zdrowia. Philips Polska zastrzega sobie prawo odmowy przyjęcia lub realizacji zamówienia w przypadkach przewidzianych prawem, w szczegółności w razie wyczerpania zapasu urządzeń medycznych. Podane dane techniczne urządzeń medycznych mają wyłącznie charakter informacyjny. W celu uzyskania szczegółowych informacji o danych technicznych (konfiguracji) i dostępności poszczególnych modeli (typów) urządzeń medycznych o wybranych parametrach technicznych (konfiguracji) w Polsce należy skontaktować z lokalnym przedstawicielem Philips Polska lub dystrybutorem.Philips zastrzega sobie prawo do zmiany danych technicznych i konfiguracji urządzeń medycznych w każdym czasie.
You are about to visit a Philips global content page
ContinueStrona przeznaczona wyłącznie dla osób, które stosują wyroby medyczne jako profesjonaliści, w tym osób wykonujących zawody medyczne, osób działających na rzecz podmiotów ochrony zdrowia lub podmiotów prowadzących obrót wyrobami medycznymi w charakterze profesjonalnym.
Czy jesteś osobą spełniającą powyższe kryteria?