Zastanawiasz się, jak sprawić, by Twoje usługi rezonansu magnetycznego były bardziej przewidywalne, produktywne i opłacalne? Badania przeprowadzane rezonansem magnetycznym z obsługą bezhelową są krokiem naprzód. Hel jest zasobem skończonym, co może zwiększyć złożoność i nieprzewidywalność badań MR i budżetu. Dlatego opracowaliśmy rewolucyjny magnes BlueSeal. Bazując na dekadzie innowacji, do działania potrzebuje on zaledwie 7 litrów ciekłego helu zamiast dotychczasowych 1500 litrów. Jest w pełni szczelny, dzięki czemu zabezpiecza badania od potencjalnych problemów związanych z helem. Co więcej, Ingenia Ambition 1.5T zapewnia wysoką jakość skanowania, niezawodną wydajność i łatwą instalację. Czy jesteś gotowy na nową rzeczywistość w badaniach rezonansem magnetycznym?
Magnes BlueSeal wykorzystuje wysoce wydajną, nową technologię mikrochłodzenia. Jest całkowicie szczelny, więc hel nie może się ulotnić1 nagle ani stopniowo, co mogłoby mieć dramatyczny wpływ na ciągłość, bezpieczeństwo i koszt badań rezonansem magnetycznym.
Teraz możesz mieć to wszystko z urządzeniem Ingenia Ambition, które umożliwia udoskonalenie obrazowania MR na każdym poziomie.

Szybkość Wykonuj nawet o 50% szybsze badania MR2, aby mądrze zarządzać czasem.

Komfort pacjenta Zapewnia do 40% redukcji wstrzymań oddechu przy praktycznie równej jakości obrazu.3

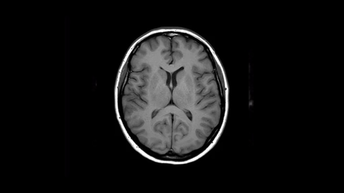
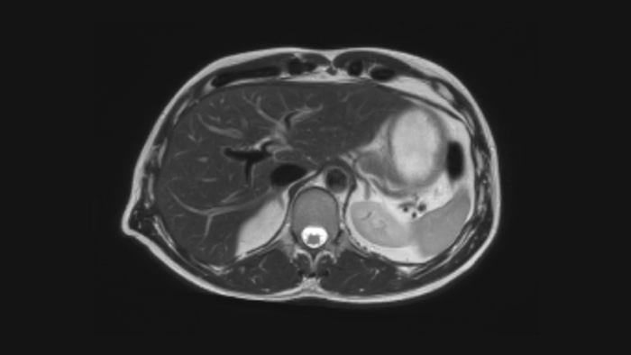
Pewność diagnostyki Zapewnia do 60% wyższą rozdzielczość przestrzenną przy takim samym czasie skanowania.4
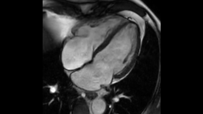
Magnes Ingenia Ambition 1.5 Tesli to technologia rezonansu magnetycznego następnej generacji. Łączy w sobie najważniejsze aspekty skutecznego systemu rezonansu magnetycznego.
Constantino Peña
Dyrektor Medyczny ds. obrazowania naczyniowego Szpitala Baptystów, Instytut Kardiologiczny i Naczyniowy w Miami
Nie tylko pomoże nam oszczędzać energię, którą zużywało chłodzenie 1500 litrów helu. Ale pozwoli nam również zaoszczędzić pieniądze i być bardziej przyjaznymi dla środowiska.
dr Marίa del Mar Travieso
Kierownik Zakładu Radiologii, Szpitale San Roque, Hiszpania
Jest wiele aplikacji, które wspierają naszą pracę, np. system Compressed SENSE, VitalEye czy VitalScreen. Uważamy, że system ten łączy w sobie bezpieczeństwo i produktywność.
Shibukawa
Technik radiolog, Uniwersytet Tokijski, Japonia




Dowiedz się, jak Ingenia Ambition 1.5T może wynieść Twoje badania rezonansem magnetycznym na nowy poziom.
Teraz możesz mieć to wszystko z urządzeniem Ingenia Ambition, które umożliwia udoskonalenie obrazowania MR na każdym poziomie.

Szybkość Przyspiesz pełne badanie nawet o 50% przy praktycznie takiej samej jakości obrazu.2

Doświadczenie personelu Wspieraj lepsze doświadczenia pracowników dzięki organizacji pracy, która zapewnia wskazówki i w razie potrzeby automatyzację.

Pewność diagnostyczna Poszerz swoje możliwości obrazowania we wszystkich obszarach klinicznych. Zobacz, jakie korzyści odnoszą inni przedstawiciele Twojej branży.
To innowacyjne rozwiązanie, które daje wiele korzyści klinicznych, operacyjnych i finansowych.

Pobierz broszurę na temat systemu Ingenia Ambition 1.5T

Dowiedz się więcej o produkcie.

Dowiedz się, jak w MCVI [Michigan CardioVascular Institute] poprawiła się jakość badań rezonansem magnetycznym.

Sprawdź jak szpital dziecięcy Altona stosuje badania rezonansem magentycznym w pediatrii.
Wyłączenia odpowiedzialności: 1 Nawet w rzadkich przypadkach rozszczelnienia magnesu znikoma ilość uchodzącego helu nie wpłynie istotnie na poziom tlenu w pomieszczeniu. 2 W porównaniu ze skanami firmy Philips bez funkcji Compressed SENSE. 3 Dla niskiego tętna (50 uderzeń na minutę) – w porównaniu ze skanami Philipsa bez funkcji Compressed SENSE. 4 W izotropowych skanach 3D MSK VIEW – w porównaniu ze skanami Philipsa bez funkcji Compressed SENSE.
You are about to visit a Philips global content page
ContinueStrona przeznaczona wyłącznie dla osób, które stosują wyroby medyczne jako profesjonaliści, w tym osób wykonujących zawody medyczne, osób działających na rzecz podmiotów ochrony zdrowia lub podmiotów prowadzących obrót wyrobami medycznymi w charakterze profesjonalnym.
Czy jesteś osobą spełniającą powyższe kryteria?