Systemy firmy Philips do prowadzenia zabiegów pod kontrolą obrazowania - system z mobilnym ramieniem C serii 9000 Zenition 90 Motorized

Przełomowa pewność diagnostyczna w onkologii

Sztuczna inteligencja w tomografii – teraźniejszość, przyszłość czy zagrożenie

Cykl życia technologii w ZDO a cele zrównoważonego rozwoju

Diagnostyka od czubka głowy po palce stóp

Niezbędny element współczesnej chirurgii, czyli o systemach z ramieniem C słów kilka

Rezonans magnetyczny Philips – Inteligentne portfolio

Philips IntelliSpace Cardiovascular – holistyczny obraz pacjenta kardiologicznego w jednym systemie

Rezonans magnetyczny MR 7700 z systemem gradientowym XP – idealna platforma 3T dla ośrodków uniwersyteckich i naukowych

Doskonałość operacyjna Zakładów Diagnostyki Obrazowej – czyli co i jak?

Pracownie diagnostyczne TK i RM w środowisku Ambient Experience – doświadczenia Centrum Medycyny Sportowej

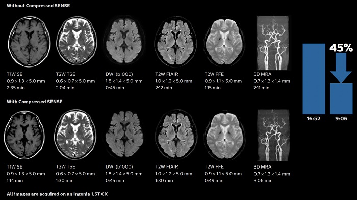
Compressed SENSE
Krótszy czas i wysoka jakość obrazowania

Nowości Philips na Kongresie RSNA w roku 2021

Warsztaty i szkolenia Philips dla użytkowników rezonansu magnetycznego
You are about to visit a Philips global content page
ContinueStrona przeznaczona wyłącznie dla osób, które stosują wyroby medyczne jako profesjonaliści, w tym osób wykonujących zawody medyczne, osób działających na rzecz podmiotów ochrony zdrowia lub podmiotów prowadzących obrót wyrobami medycznymi w charakterze profesjonalnym.
Czy jesteś osobą spełniającą powyższe kryteria?