Dzięki technologiom wspartym sztuczną inteligencją1, które automatyzują najbardziej złożone zdania kliniczne i administracyjne, system rezonansu magnetycznego MR 5300 o sile pola 1,5 T nie tylko podnosi wydajność pracy w pracowni rezonansu magnetycznego i zapewnia wyjątkową jakość obrazowania diagnostycznego, ale pozwala również poświęcić więcej uwagi badanym pacjentom.


Automatyzacja przebiegu badania skoncentrowanego na pacjencie
Przygotowanie pacjentów trwa krócej niż minutę, a badanie rozpoczyna się jednym kliknięciem przycisku. Pozwala to skrócić czas pomiędzy badaniami nawet o 30%4.

Bardzo szybki przebieg badań
System pozwala skrócić czas trwania badania rezonansu magnetycznego nawet o 50%2 przy zachowaniu niemal identycznej jakości obrazu. Wykonanie rutynowych badań zajmuje zaledwie pięć minut.

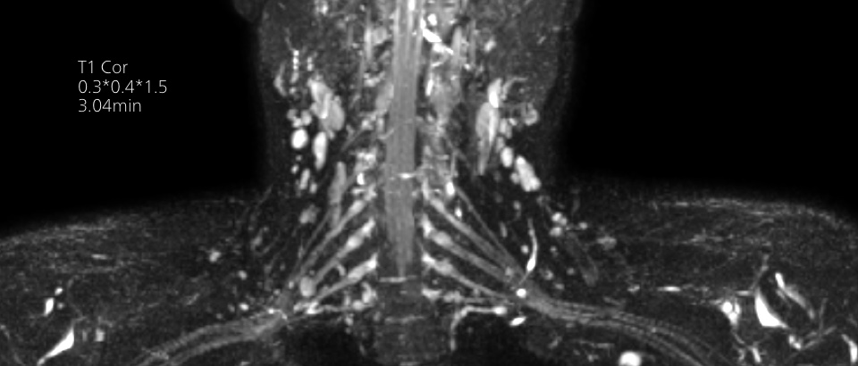
Wysoka jakość obrazowania diagnostycznego
Nasze najlżejsze cewki Breeze, których można używać pojedynczo lub łączyć ze sobą, pozwalają uzyskać wysokiej jakości obrazy każdej struktury anatomicznej.

Długoletnia eksploatacja3
Obrazowanie MR bez konieczności uzupełniania helu, zdalny serwis, konserwacja zapobiegawcza, modernizacje systemu oraz możliwość wymiany cewek pomagają obniżyć całkowity koszt posiadania systemu.

Jako użytkownik bardzo doceniam niewielką masę cewek Breeze oraz ich złączy. Także nasi pacjenci są mile zaskoczeni komfortem badania oferowanym przez system MR 5300. A jeśli nasi pacjenci są zadowoleni, my także jesteśmy."
Dayan Jackson Dudleythurai, elektroradiolog w pracowni rezonansu magnetycznego, szpital Aleris-Hamlet, Dania.
Rozwiązanie Compressed SENSE, w które wyposażono system Philips MR 5300, pozwala skrócić czas uzyskiwania skanów nawet o 50%2 przy zachowaniu takiej samej jakości obrazów. Dzięki o 60% wyższej rozdzielczości przestrzennej rozwiązanie Compressed SENSE zapewnia również uzyskiwanie obrazów wysokiej jakości, co przekłada się na formułowanie wiarygodnych rozpoznań.

Obrazowanie konwencjonalne

Funkcja Compressed SENSE
Nasze najlżejsze cewki Breeze umożliwiają badanie różnorodnych struktur anatomicznych, także tych trudnych do zobrazowania i najmniejszych stawów. Duże, wynoszące 55 cm pole obrazowania i znakomity stosunek sygnału do szumu, pozwalają uzyskać obrazy charakteryzujące się najwyższą jakością.




Magnes Philips BlueSeal zawiera niewielką ilość helu potrzebną do chłodzenia skanera. Dzięki szczelnej konstrukcji hel nie odparowuje, w związku z tym nie ma potrzeby jego uzupełniania i ponoszenia nieoczekiwanych kosztów.

Posłuchaj rozmowy pomiędzy Michaelem Kirkegaardem, dyrektorem generalnym szpitala Aleris-Hamlet, który zakupił system MR 5300, i dyrektorem naczelnym działu MR w firmie Philips na temat znaczenia zrównoważonego rozwoju w ochronie zdrowia.

Magnes BlueSeal eliminujący konieczność uzupełniania helu w systemie rezonansu magnetycznego
Magnes Philips BlueSeal zawiera niewielką ilość helu potrzebną do chłodzenia skanera. Dzięki szczelnej konstrukcji hel nie odparowuje, w związku z tym nie ma potrzeby jego uzupełniania i ponoszenia nieoczekiwanych kosztów.

Kolejne kroki w obrazowaniu rezonansu magnetycznego
Posłuchaj, co na temat przełomowych rozwiązań firmy Philips w dziedzinie systemów rezonansu magnetycznego z obsługą bezhelową mówi Arjen Radder, Global Business Leader w dziale Magnetic Resonance firmy Philips.
Literatura
1. Zgodnie z definicją sztucznej inteligencji opracowaną przez grupę ekspertów na szczeblu UE. 2. W porównaniu ze skanami uzyskanymi za pomocą systemów firmy Philips bez funkcji Compressed SENSE. 3. Performance for Life to opcjonalna usługa serwisowa oferowana na okres minimum 10 lat. Obejmuje części, takie jak materiały zużywalne i cewki, oraz usługi określone w umowie. 4. W porównaniu z czasem zmiany operatora podczas rutynowych badań mózgu, kręgosłupa, tułowia, serca, układu mięśniowo-szkieletowego w systemach Ingenia 1.5T / Ingenia Ambition 1.5T z cewkami dS Anterior i dedykowanymi cewkami do badania układu mięśniowo-szkieletowego
You are about to visit a Philips global content page
ContinueStrona przeznaczona wyłącznie dla osób, które stosują wyroby medyczne jako profesjonaliści, w tym osób wykonujących zawody medyczne, osób działających na rzecz podmiotów ochrony zdrowia lub podmiotów prowadzących obrót wyrobami medycznymi w charakterze profesjonalnym.
Czy jesteś osobą spełniającą powyższe kryteria?