W celu zobrazowania możliwości tomografu komputerowego z detektorem spektralnym prezentujemy dwóch hipotetycznych pacjentów o takim samym profilu zdrowotnym, narzekających na ból brzucha. Ich lekarze zlecili badanie metodą tomografii komputerowej, aby uzyskać więcej danych. Jeden z pacjentów został poddany badaniu metodą konwencjonalnej tomografii komputerowej, a drugi — tomografii komputerowej z użyciem detektora spektralnego. W przypadku obu pacjentów przebieg procedury jest taki sam. Niemal identyczny jest również sposób pracy personelu szpitala.
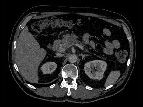
Wiek: 51 Wzrost: 183 cm" Masa ciała: 79 kg Skan CTA jamy brzusznej z 70-sekundowym opóźnieniem wstrzyknięcia środka kontrastowego
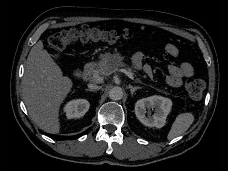
Wiek: 50 Wzrost: 180 cm" Masa ciała: 75 kg Skan CTA jamy brzusznej z 70-sekundowym opóźnieniem wstrzyknięcia środka kontrastowego


W celu ustalenia jednoznacznego rozpoznania w tym hipotetycznym przypadku radiolodzy potrzebują większej ilości informacji na temat guza widocznego w trzustce.
Jeśli obraz uzyskany tradycyjną techniką tomografii komputerowej nie daje jednoznacznych odpowiedzi, konieczne może być poddanie pacjenta dodatkowemu obrazowaniu.

W przeciwieństwie do tradycyjnych obrazów CT obrazy uzyskane z użyciem detektora spektralnego za każdym razem dostarczają pełnych danych spektralnych — bez konieczności jakichkolwiek niestandardowych przygotowań czy specjalnej konfiguracji. Daje to możliwość retrospektywnej analizy danych spektralnych na dowolnym obrazie i z użyciem szerokiej gamy narzędzi do wizualizacji danych spektralnych. Możliwe jest np. dostosowanie poziomu monoenergetycznego czy uzyskanie map efektywnej liczby atomowej (Z effective). Spójrz niżej, aby się przekonać.
Detektor spektralny równocześnie pochłania i różnicuje wysoką i niską energię (zawarte w pojedynczej wieloenergetycznej wiązce RTG). Wyniki spektralne są pozyskiwane w ramach pojedynczego skanowania — bez konieczności stosowania specjalnych trybów.
Wyniki analizy spektralnej dostępne w dowolnym momencie i w każdym miejscu. Pojedynczy obiekt DICOM zawiera wystarczającą ilość informacji do analizy retrospektywnej.
Tomografia komputerowa oparta na detektorze spektralnym umożliwia równoczesne pochłanianie i różnicowanie wysokiej i niskiej energii (zawartych w pojedynczej wieloenergetycznej wiązce RTG) na poziomie detektora.

Aby uzyskać więcej informacji na temat tomografu komputerowego z detektorem spektralnym, prosimy o kontakt.
You are about to visit a Philips global content page
ContinueStrona przeznaczona wyłącznie dla osób, które stosują wyroby medyczne jako profesjonaliści, w tym osób wykonujących zawody medyczne, osób działających na rzecz podmiotów ochrony zdrowia lub podmiotów prowadzących obrót wyrobami medycznymi w charakterze profesjonalnym.
Czy jesteś osobą spełniającą powyższe kryteria?