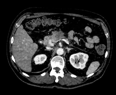
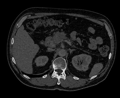
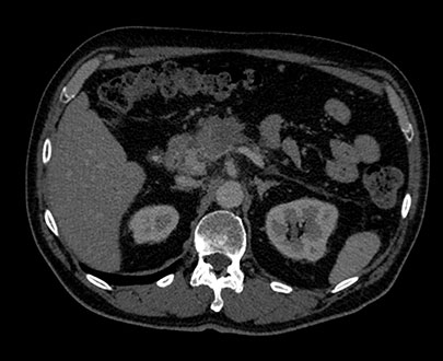
Kliknij poziom energii od 40 keV do 200 keV, aby zobaczyć struktury anatomiczne zgodnie z ich właściwościami tłumienia spektralnego.

MonoE zakresie 200keV
Suwak wyboru energii 200keV
MonoE zakresie 175keV
Suwak wyboru energii 175keV
MonoE zakresie 145keV
Suwak wyboru energii 145kev
MonoE zakresie 110keV
Suwak wyboru energii 110kev
MonoE zakresie 75keV
Suwak wyboru energii 75kev
MonoE zakresie 40keV
Suwak wyboru energii 40kev

Badanie MonoE pozwala uzyskać zsyntetyzowane obrazy monoenergetyczne przy wstępnie zdefiniowanych wartościach w zakresie od 40 keV do 200 keV. Wygląd obrazów zmienia się wraz ze zmianą wartości keV, nawet jeśli ustawienia okna/poziomu są takie same. Przykładowo przy niższych wartościach keV jod może wydawać się jaśniejszy, natomiast wyższe wartości keV pozwalają ograniczyć artefakty pochodzące od metalowych implantów.

You are about to visit a Philips global content page

Continue

You are about to visit a Philips global content page

Continue

Naszą witrynę najlepiej wyświetlać w najnowszych wersjach przeglądarek Microsoft Edge, Google Chrome lub Firefox.

Wchodzisz na polską stronę Philips Healthcare
Please select the checkbox

Strona przeznaczona wyłącznie dla osób, które stosują wyroby medyczne jako profesjonaliści, w tym osób wykonujących zawody medyczne, osób działających na rzecz podmiotów ochrony zdrowia lub podmiotów prowadzących obrót wyrobami medycznymi w charakterze profesjonalnym.

Czy jesteś osobą spełniającą powyższe kryteria?