Widok obszaru anatomicznego uzyskany z użyciem różnych wyników spektralnych.

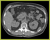
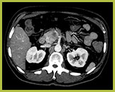
Obraz MonoE

Na tym zdjęciu pokazano zsyntetyzowany obraz monoenergetyczny uzyskany przy wstępnie ustawionej wartości keV.

MonoE

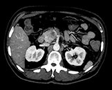
Badanie wykonane metodą „Iodine no water”

Badanie wykonane metodą „Virtual non-Contrast”

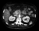
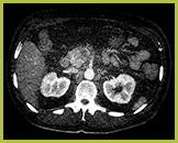
Obraz efektywnej liczby atomowej

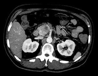
Badanie wykonane metodą „Iodine no H20”

Zapewnia lepszą wizualizację tkanek wzmocnionych kontrastem na bazie jodu. Wynik pozwala na dokładną ocenę ilościową jodu w mg/ml.

MonoE

Badanie wykonane metodą „Iodine no water”

Badanie wykonane metodą „Virtual non-Contrast”

Obraz efektywnej liczby atomowej

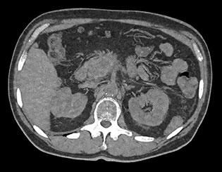
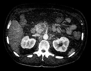
Badanie wykonane metodą „H20 no iodine”

Utworzony przez usunięcie jodu z obrazu. Wykonane w jednostkach Hounsfielda (HU) pomiary na wirtualnych obrazach badania bezkontrastowego są w przypadku większości struktur porównywalne ze skanami wykonanymi bez środka kontrastowego, pozwalając zastąpić skany niekontrastowe obrazami VNC.

MonoE

Badanie wykonane metodą „Iodine no water”

Badanie wykonane metodą „Virtual non-Contrast”

Obraz efektywnej liczby atomowej

Obraz efektywnej liczby atomowej

Tworzy w oparciu o liczbę atomową tkanki widocznej na obrazie kodowaną kolorem mapę, której można użyć do scharakteryzowania różnych tkanek, np. kamicy nerkowej.

MonoE

Badanie wykonane metodą „Iodine no water”

Badanie wykonane metodą „Virtual non-Contrast”

Obraz efektywnej liczby atomowej

You are about to visit a Philips global content page

Continue

Naszą witrynę najlepiej wyświetlać w najnowszych wersjach przeglądarek Microsoft Edge, Google Chrome lub Firefox.

Wchodzisz na polską stronę Philips Healthcare
Please select the checkbox

Strona przeznaczona wyłącznie dla osób, które stosują wyroby medyczne jako profesjonaliści, w tym osób wykonujących zawody medyczne, osób działających na rzecz podmiotów ochrony zdrowia lub podmiotów prowadzących obrót wyrobami medycznymi w charakterze profesjonalnym.

Czy jesteś osobą spełniającą powyższe kryteria?