
System Lumify widzi to, czego nie może dostrzec ludzkie oko
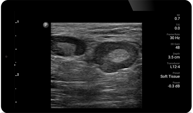
Badania ultrasonograficzne może usprawnić rozpoznawanie i skuteczne leczenie ropni skórnych.

Wczesne wykrycie może może zapobiec eskalacji do stanu krytycznego
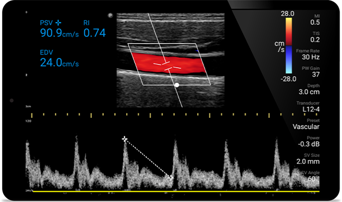
Rosnący problem zastoinowej niewydolności serca trudno bagatelizować. Jej szybkie wykrycie w badaniu ultrasonograficznym może znacząco poprawić wskaźniki przeżycia.

Wyniki badań w zasięgu ręki
System Lumify zapewnia szybkie zapisywanie wyników badań i ich szybkie otwieranie na zgodnym urządzeniu z systemem Android lub iOS. Można je również udostępniać innym lekarzom w celu konsultacji.


• Rozszerzony zakres częstotliwości roboczej od 5 do 2 MHz • Promień krzywizny: 50 mm • Obrazowanie 2D, kolorowy Doppler, tryb M-mode, zaawansowana technika XRES oraz wielowymiarowe obrazowanie harmoniczne, SonoCT • Obrazowanie w wysokiej rozdzielczości głębiej położonych struktur anatomicznych: optymalizacja ustawień predefiniowanych obrazowania jamy brzusznej, pęcherzyka żółciowego, badanie położniczo-ginekologiczne oraz płuc • Znacznik linii środkowej • Przetwornik ze złączem USB-C i wymiennym kablem


Od ukazania subtelnych detali obrazu do znakomitego odwzorowania tkanek pod różnymi kątami — system Lumify może pomóc w pewniejszym podejmowaniu decyzji klinicznych tu i teraz zarówno w przypadku wstępnej diagnostyki pacjenta, jak i podczas jego leczenia.

Opis przypadku
Tamponada serca objawia się często bólami brzucha

Instruktaż
Ocena funkcji lewej komory

Skrócony przewodnik
Ultrasonografia POC tkanek miękkich
You are about to visit a Philips global content page
Continue