
System Lumify możesz mieć zawsze przy sobie wsparcie na każdym kroku
Błyskawiczne ocena, diagnoza i leczenie pacjentów dzięki badaniu POCUS.

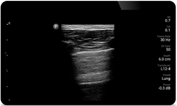
Łatwiejsze oddychanie w przypadku System Lumify
Korzystanie z systemu Lumify może przyczynić się do szybszej oceny pacjentów oraz lepszego diagnozowania najczęstszych przyczyn duszności i innych chorób płuc

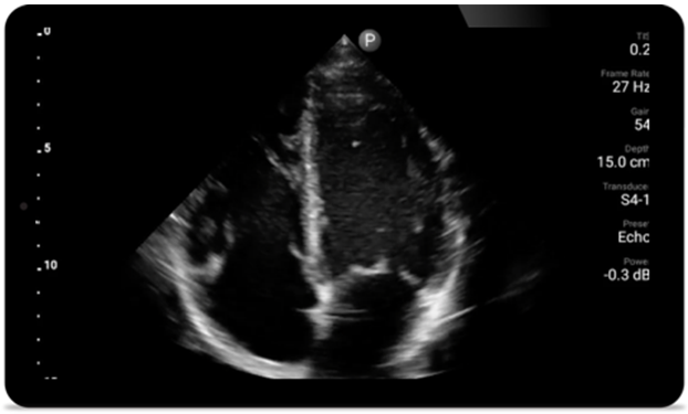
Gdy liczy się każda sekunda — diagnostyka kardiologiczna
Pacjenci, u których doszło do zawału serca, wymagają pilnego leczenia. Dostępne w systemie Lumify ustawienia do badań serca mogą przyspieszyć ich zdiagnozowanie, a w konsekwencji poprawić wyniki ich leczenia.
System pozwala wykonać wyraźne obrazowanie całego ciała, dzięki czemu można szybko uzyskać pełen obraz sytuacji i niezwłocznie podjąć niezbędne działania.


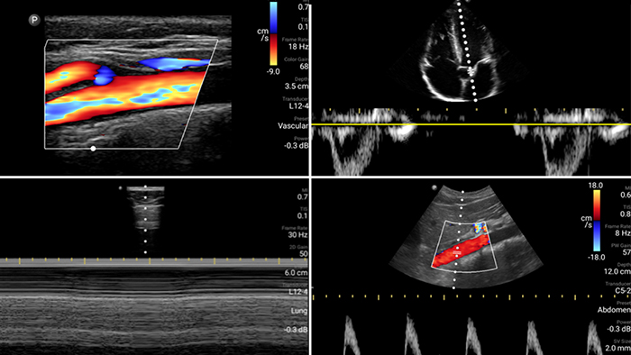
• Rozszerzony zakres częstotliwości roboczej od 4 do 1 MHz • Obrazowanie 2D, kolorowy Doppler, tryb M-mode, zaawansowana technika XRES oraz wielowymiarowe obrazowanie harmoniczne • Obrazowanie w wysokiej rozdzielczości do badań jamy brzusznej i serca: optymalizacja ustawień predefiniowanych obrazowania serca, badań położniczo-ginekologicznych, płuc, jamy brzusznej oraz protokołu FAST System Lumify pomaga ratować życie w warunkach przedszpitalnych



Wideo
System Lumify pomaga ratować życie w warunkach przedszpitalnych

Opis przypadku
Wykorzystanie systemu Lumify podczas czynności resuscytacyjnych

Skrócony przewodnik
Badanie ultrasonograficzne wykonywane po urazach (ang. Focused Assessment with Sonography for Trauma, FAST)
You are about to visit a Philips global content page
Continue