
Mniej powikłań podczas zabiegów z wprowadzeniem igły
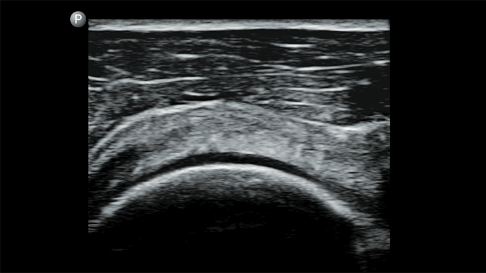
Przenośny system Lumify do stosowania w anestezjologii pomaga wyraźnie uwidocznić granice tkanek, otaczające je nerwy, naczynia oraz powierzchnie powięzi podczas wprowadzania igły.

System Lumify to doskonałe rozwiązanie do badań górnych i dolnych dróg oddechowych
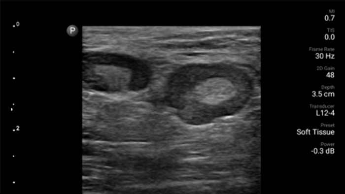
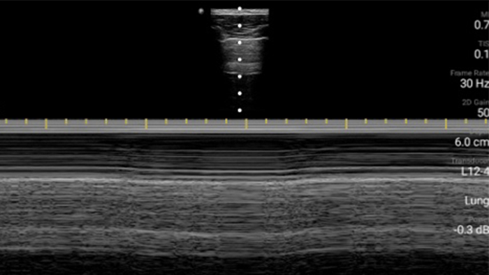
System Lumify do badań POCUS może służyć do wykrywania rurki dotchawiczej w tchawicy, pomagać podczas pilnych zabiegów konikotomii, diagnostyce wysięku opłucnowego oraz chorób pęcherzyków płucnych.

Ultrasonografia przy łóżku pacjenta
System Lumify do badań POCUS może być niezwykle cennym narzędziem do oceny stanu treści żołądka, które może obniżyć ryzyko jej aspiracji do płuc, a tym samym ryzyko powikłań po zastosowaniu znieczulenia.



System Lumify pomaga wyraźnie zwizualizować wprowadzaną igłę, otaczające ją nerwy, naczynia oraz powierzchnie powięzi.













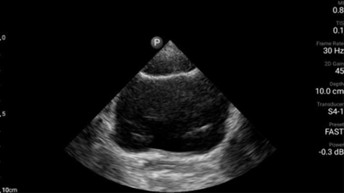
• Rozszerzony zakres częstotliwości roboczej od 4 do 1 MHz • Obrazowanie 2D, kolorowy Doppler, tryb M-mode, zaawansowana technika XRES oraz wielowymiarowe obrazowanie harmoniczne • Obrazowanie w wysokiej rozdzielczości do badań jamy brzusznej i serca: optymalizacja predefiniowanych ustawień badań serca, położniczo-ginekologicznych, płuc, jamy brzusznej oraz FAST.


Od ukazania subtelnych detali obrazu do znakomitego odwzorowania tkanek pod różnymi kątami — system Lumify może pomóc w pewniejszym podejmowaniu decyzji klinicznych tu i teraz zarówno w przypadku wstępnej diagnostyki pacjenta, jak i podczas jego leczenia.

Opis przypadku
A patient with dyspnea

Instruktaż
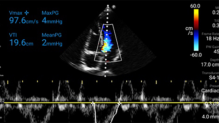
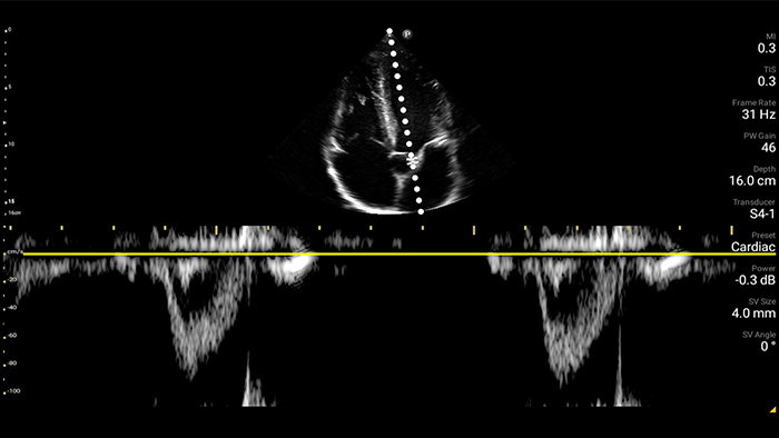
Przedszpitalna echokardiografia serca: zator płucny

Krótki wykład
Podstawy ultrasonografii płuc
You are about to visit a Philips global content page
Continue