
Mniej powikłań związanych z zakładaniem wkłuć centralnych
Wykonywanie wkłuć centralnych pod kontrolą ultrasonografii poprawia ich precyzję i bezpieczeństwo.

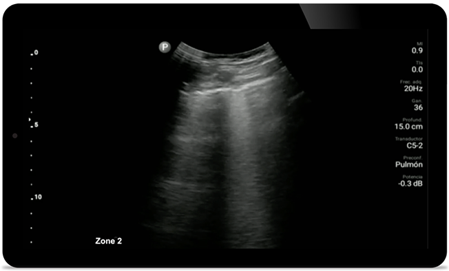
Lepsza kontrola zapalenia płuc w przebiegu COVID
W przypadku oceny zapalenia płuc oraz zespołu niewydolności oddechowej u osób dorosłych system Lumify pozwala uzyskać obrazy o jakości niemal analogicznej do obrazów TK klatki piersiowej.

Jeśli w grę wchodzi serce, liczy się każda sekunda
Gdy liczy się dosłownie każda sekunda, przenośny ultrasonograf Lumify pozwala niezwłocznie wykonać obrazowanie w wysokiej rozdzielczości — gdziekolwiek jesteś.
Przekonaj się samodzielnie
System pozwala wyraźnie zobrazować całe ciało, dzięki czemu możesz szybko uzyskać pełen obraz stanu pacjenta i niezwłocznie podjąć niezbędne działania.


• Rozszerzony zakres częstotliwości od 12 MHz do 4 MHz • Średnica otworu: 34 mm • Obrazowanie 2D, sterowany kolorowy Doppler, tryb M-mode, zaawansowana technika XRES oraz wielowymiarowe obrazowanie harmoniczne, SonoCT • Obrazowanie powierzchowne w wysokiej rozdzielczości: badania tkanek miękkich, naczyń, struktur powierzchownych, układu mięśniowo-szkieletowego i płuc • Znacznik linii środkowej • Przetwornik ze złączem USB-C i wymiennym kablem



Opis przypadku
Szansa na odwrócenie kardiomiopatii

Instruktaż
Wprowadzenie do echokardiografii przezklatkowej

Skrócony przewodnik
Ultrasonografia nerek
You are about to visit a Philips global content page
Continue