
Ustawienia w trybie Lung (płuco) zostały zoptymalizowane w taki sposób, aby podkreślić artefakty związane z obrazowaniem płuc oraz umożliwić łatwą wizualizację płuca przesuwającego się w jamie opłucnowej. Podczas pracy w tym trybie zaawansowane techniki obrazowania (tj. obrazowanie harmoniczne, SonoCT, XRes) zostają wyłączone, aby wzmocnić wizualizację znaków takich, jak „linie A” i „Linie B”.


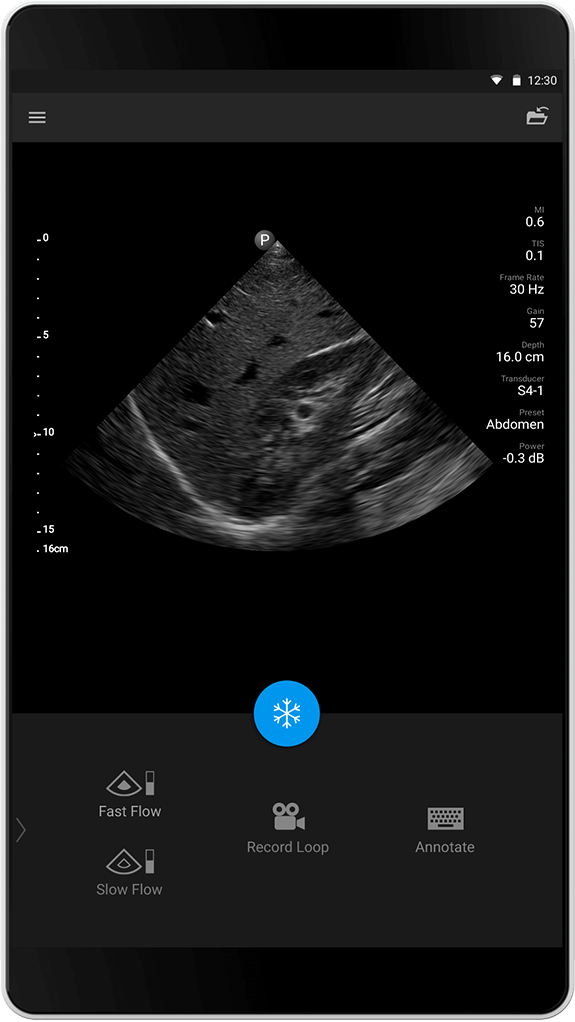
Ustawienia w trybie Abdomen (jama brzuszna) zostały odpowiednio zoptymalizowane w celu zapewnienia głębokiej penetracji fal i zróżnicowanego obrazowania jamy brzusznej. Optymalizacja Dopplera w trybie Abdomen ma na celu zobrazowanie szybkich przepływów w obrębie tętnic brzusznych, jak również wolniejszych przepływów w narządach, jak np. w nerkach.


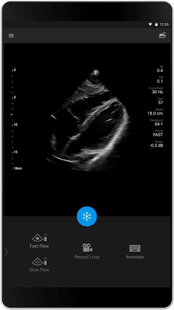
Ustawienia w trybie FAST zostały zoptymalizowane specjalnie na potrzeby badania ultrasonograficznego wykonywanego po urazie narządów jamy brzusznej i klatki piersiowej (Focused Assessment with Sonography for Trauma). Ustawienia zapewniają głęboką penetrację fal oraz wzmacniają wizualizację wolnego płynu w jamie brzusznej, aby możliwe było uzyskanie szybkich i pewnych wyników.


Ustawienia w trybie ECHO (echokardiografia) zostały dostosowane tak, aby umożliwić uzyskiwanie wysokiej jakości obrazów serca dzięki głębokiej penetracji fal u technicznie trudnych pacjentów. Funkcja Obrazowania harmonicznego tkanek zapewnia krystalicznie czysty obraz komór serca wypełnionych krwią, a także jego struktur tkankowych. Doppler (FastFlow) został zoptymalizowany pod kątem wysokiej prędkości przepływów w celu szybkiego obrazowania pracy serca.

Kliknięcie tego linku spowoduje opuszczenie oficjalnej witryny Royal Philips (“Philips”). Wszystkie linki do witryn internetowych będących własnością osób trzecich, które pojawiają się w tej witrynie, są udostępniane wyłącznie dla Twojej wygody. Wszelkie linki kierujące do innych stron nie stanowią akceptacji takiej innej strony i Philips nie wyraża żadnej opinii ani gwarancji w stosunku co rzetelności, terminowości lub czy odpowiedniego charakteru treści zawartych na jakiejkolwiek stronie, do których link znajduje się na witrynie i nie przyjmuje żadnej wynikającej z tego tytułu odpowiedzialności.
RozumiemYou are about to visit a Philips global content page
ContinueKliknięcie tego linku spowoduje opuszczenie oficjalnej witryny Royal Philips (“Philips”). Wszystkie linki do witryn internetowych będących własnością osób trzecich, które pojawiają się w tej witrynie, są udostępniane wyłącznie dla Twojej wygody. Wszelkie linki kierujące do innych stron nie stanowią akceptacji takiej innej strony i Philips nie wyraża żadnej opinii ani gwarancji w stosunku co rzetelności, terminowości lub czy odpowiedniego charakteru treści zawartych na jakiejkolwiek stronie, do których link znajduje się na witrynie i nie przyjmuje żadnej wynikającej z tego tytułu odpowiedzialności.
RozumiemYou are about to visit a Philips global content page
ContinueWybierz kraj
Polska (Polski)Naszą witrynę najlepiej wyświetlać w najnowszych wersjach przeglądarek Microsoft Edge, Google Chrome lub Firefox.
Strona przeznaczona wyłącznie dla osób, które stosują wyroby medyczne jako profesjonaliści, w tym osób wykonujących zawody medyczne, osób działających na rzecz podmiotów ochrony zdrowia lub podmiotów prowadzących obrót wyrobami medycznymi w charakterze profesjonalnym.
Czy jesteś osobą spełniającą powyższe kryteria?