
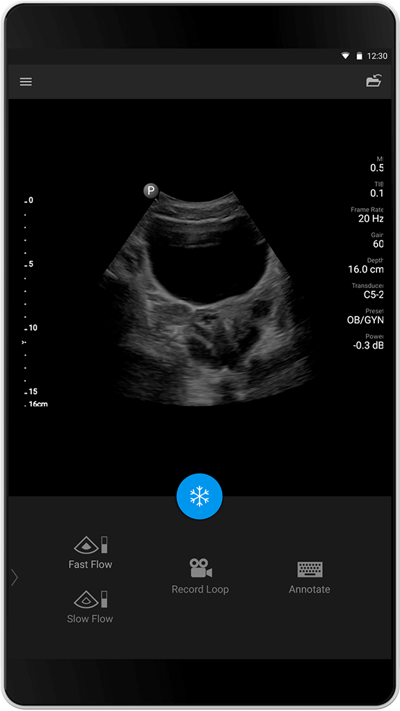
Ustawienia zoptymalizowano tak, aby zapewnić głęboką penetrację fal oraz niezwykłą rozdzielczość obrazu układu moczowego. Przedmiotowe ustawienia są idealnie dostosowane do identyfikowania patologicznych przerostów na ścianach pęcherzyka żółciowego, jak również kamieni żółciowych.


Ustawienia w trybie Lung (płuco) zostały zoptymalizowane w taki sposób, aby podkreślić artefakty związane z obrazowaniem płuc oraz umożliwić łatwą wizualizację płuca przesuwającego się w jamie opłucnowej. Podczas pracy w tym trybie zaawansowane techniki obrazowania (tj. obrazowanie harmoniczne, SonoCT, XRes) zostają wyłączone, aby wzmocnić wizualizację znaków takich, jak „linie A” i „Linie B”.


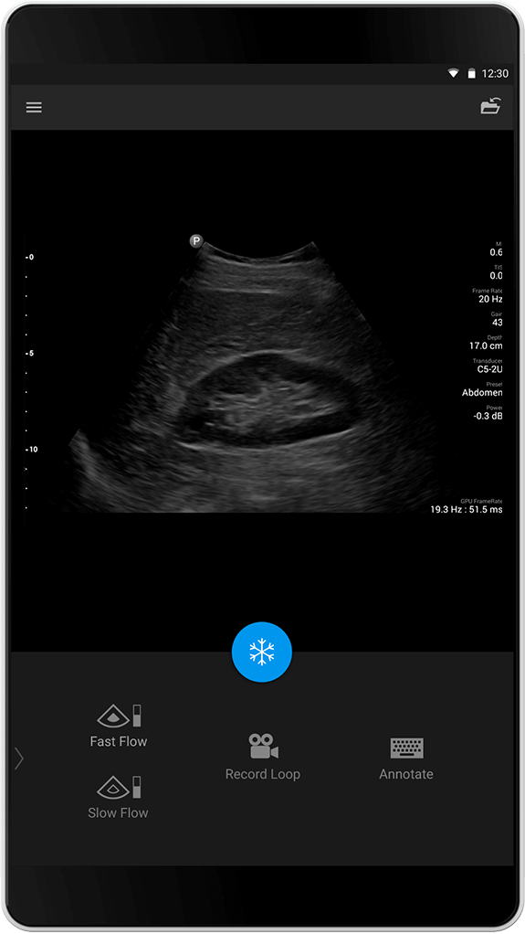
Ustawienia w trybie Abdomen (jama brzuszna) zostały odpowiednio zoptymalizowane w celu zapewnienia głębokiej penetracji fal i zróżnicowanego obrazowania jamy brzusznej. Optymalizacja Dopplera w trybie Abdomen ma na celu zobrazowanie szybkich przepływów w obrębie tętnic brzusznych, jak również wolniejszych przepływów w narządach, jak np. w nerkach.

Kliknięcie tego linku spowoduje opuszczenie oficjalnej witryny Royal Philips (“Philips”). Wszystkie linki do witryn internetowych będących własnością osób trzecich, które pojawiają się w tej witrynie, są udostępniane wyłącznie dla Twojej wygody. Wszelkie linki kierujące do innych stron nie stanowią akceptacji takiej innej strony i Philips nie wyraża żadnej opinii ani gwarancji w stosunku co rzetelności, terminowości lub czy odpowiedniego charakteru treści zawartych na jakiejkolwiek stronie, do których link znajduje się na witrynie i nie przyjmuje żadnej wynikającej z tego tytułu odpowiedzialności.
RozumiemYou are about to visit a Philips global content page
ContinueKliknięcie tego linku spowoduje opuszczenie oficjalnej witryny Royal Philips (“Philips”). Wszystkie linki do witryn internetowych będących własnością osób trzecich, które pojawiają się w tej witrynie, są udostępniane wyłącznie dla Twojej wygody. Wszelkie linki kierujące do innych stron nie stanowią akceptacji takiej innej strony i Philips nie wyraża żadnej opinii ani gwarancji w stosunku co rzetelności, terminowości lub czy odpowiedniego charakteru treści zawartych na jakiejkolwiek stronie, do których link znajduje się na witrynie i nie przyjmuje żadnej wynikającej z tego tytułu odpowiedzialności.
RozumiemYou are about to visit a Philips global content page
ContinueWybierz kraj
Polska (Polski)Naszą witrynę najlepiej wyświetlać w najnowszych wersjach przeglądarek Microsoft Edge, Google Chrome lub Firefox.
Strona przeznaczona wyłącznie dla osób, które stosują wyroby medyczne jako profesjonaliści, w tym osób wykonujących zawody medyczne, osób działających na rzecz podmiotów ochrony zdrowia lub podmiotów prowadzących obrót wyrobami medycznymi w charakterze profesjonalnym.
Czy jesteś osobą spełniającą powyższe kryteria?