Ta wielomodalna aplikacja do post-processingu danych umożliwia wyświetlanie, modyfikację, analizę i ocenę ilościową obrazów anatomicznych i czynnościowych pozyskanych w jednym lub wielu punktach w czasie.
Pacjenci onkologiczni wymagają stałej opieki. System IntelliSpace Portal zapewnia narzędzia do zaawansowanej wizualizacji w onkologii, ułatwiając ocenę stopnia zaawansowania choroby i odpowiedzi na leczenie w wielu punktach w czasie. Rozwiązanie to pozwala na sprawne przeprowadzanie najważniejszych badań kontrolnych.
Zaawansowane narzędzia do wizualizacji 3D i obróbki graficznej umożliwiają zapisywanie, prezentowanie i przesyłanie informacji klinicznych, co sprzyja osiąganiu pewności diagnostycznej i owocnej współpracy między specjalistami.
Wymierna perfuzja
Aplikacja CT Body Perfusion pomaga w ocenie perfuzji mózgowej u pacjentów z ostrym udarem lub przewlekłym niedokrwieniem, jak również w ocenie całościowej lub miejscowej perfuzji wątroby.

Korzyści
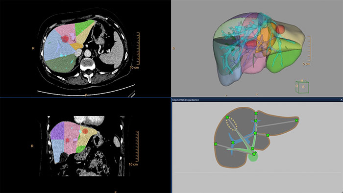
Zaawansowana segmentacja wątroby
Aplikacja CT Liver Analysis automatycznie wyodrębnia wątrobę na podstawie fazy żylno-wrotnej trójfazowego badania wątroby. Aplikacja ta zapewnia narzędzia do segmentacji, które ułatwiają ocenę wątroby, struktury naczyniowej poszczególnych segmentów naczyń wątroby oraz zidentyfikowanych przez lekarza zmian patologicznych. Narzędzia do automatycznej segmentacji mogą być przydatne w szybkim wyodrębnianiu objętości całej wątroby, pozwalającym na uzyskanie wyników o wysokiej jakości klinicznej. Wykazano, że metoda automatyczna znacznie przyspiesza czas przetwarzania danych i zwiększa powtarzalność wyników w porównaniu z technikami ręcznymi.

Korzyści
Do badań diagnostycznych oraz niskodawkowych badań przesiewowych CT pod kątem raka płuc
Pakiet zaawansowanych narzędzi do obrazowania pozwalający na segmentację, ocenę ilościową oraz monitorowanie wskazanych przez lekarza guzków płucnych. Aplikację można stosować zarówno w procedurach diagnostycznych, jak i w badaniach przesiewowych pod kątem raka płuc z wykorzystaniem niskodawkowego obrazowania CT (Low Dose CT Lung Cancer Screening)*.

Korzyści
*Badania przesiewowe muszą być przeprowadzane z uwzględnieniem ustalonych kryteriów włączenia do badania według programów/protokołów, które zostały zatwierdzone i opublikowane przez organ rządowy lub stowarzyszenie zrzeszające specjalistów z dziedziny medycyny. W celu uzyskania szczegółowych informacji należy się zapoznać z literaturą kliniczną, w tym z wynikami badania National Lung Screening Trial (N Engl J Med 2011; 365:395–409) oraz powiązanymi publikacjami. Niektóre funkcje mogą być niedostępne w niektórych krajach. W celu uzyskania szczegółowych informacji należy się skontaktować z przedstawicielem firmy Philips.
Wsparcie przeprowadzanej komputerowo wtórnej interpretacji obrazów System wspomaganego komputerowo wykrywania zmian w wielowarstwowych badaniach CT klatki piersiowej
Sztuczna inteligencja pełniąca rolę drugiego diagnosty w wykrywaniu potencjalnie przeoczonych zmian lub guzków.

Korzyści
– wykrywania guzków w płucach potencjalnie wymagających dalszych działań (nie tylko okrągłych obiektów lub obszarów ROI); – korelowania obrazów 2D, 3D i map płuc; – rejestrowania aktualnych lub poprzednio wykrytych guzków; – obliczania zmian, jakim uległy guzki.
*Funkcja CAD jest niedostępna w sprzedaży w USA.
Umożliwia retrospektywne wykorzystanie danych spektralnych zapisanych jako obrazy SBI. Możliwe jest przeglądanie danych spektralnych oraz identyfikacja najbardziej istotnych wyników do załadowania do konwencjonalnej aplikacji CT w celu przeprowadzenia rutynowej analizy — nawet do aplikacji, które nie zostały opracowane pod kątem obsługi danych spektralnych.

Korzyści
– Aplikacja do wirtualnej kolonoskopii Virtual Colonoscopy – Aplikacja do analizy obrazów wątroby Liver Analysis – Przeglądarka obrazów pacjentów po urazach Trauma Viewer (Acute Multifunctional Review) – Aplikacja do planowania zabiegów TAVI – Aplikacja do analizy tętnic płuc PAA – Aplikacja do analizy perfuzji mózgu Brain Perfusion – Aplikacja do analizy perfuzji narządowej Functional CT (FCT)
Funkcja tomografu IQon Spectral CT*
Aplikacja zapewniająca zestaw narzędzi do analizy guzów nowotworowych. Umożliwia ona równoczesne wczytanie kilku przypadków, z których każdy został pozyskany w innym czasie, jak również segmentowanie i edytowanie obszarów guzów oraz analizowanie i wyświetlanie zmian w oparciu o różne rodzaje danych spektralnych.

Korzyści
* W wyniku rekonstrukcji obrazu w tomografie IQon CT powstaje pojedynczy obiekt DICOM zawierający informacje wystarczające do analizy retrospektywnej — bazowy obraz spektralny (ang. Spectral Base Image, SBI). Obraz SBI zawiera wszystkie wyniki analizy spektralnej, nie ma więc konieczności przeprowadzania dodatkowej rekonstrukcji czy post processingu danych. Aplikacje do analizy spektralnej wykorzystują obraz SBI do uzyskania różnych wyników spektralnych.
Funkcja tomografu IQon Spectral CT*
Przeglądarka danych spektralnych (Spectral Viewer) jest aplikacją zoptymalizowaną pod kątem analizy zestawów danych spektralnych uzyskanych za pomocą tomografu IQon Spectral CT. Zapewnia łatwy i szybki wgląd w dane każdego pacjenta oraz umożliwia przeprowadzanie pomocnej w diagnostyce szybkiej oceny ilościowej. Aplikacja ta powstała z myślą o zaspokojeniu potrzeb w zakresie ogólnej wizualizacji danych spektralnych. Ponadto zapewnia dodatkowe narzędzia pomocne w analizie obrazów CT.

Korzyści
* W wyniku rekonstrukcji obrazu w tomografie IQon CT powstaje pojedynczy obiekt DICOM zawierający informacje wystarczające do analizy retrospektywnej — bazowy obraz spektralny (ang. Spectral Base Image, SBI). Obraz SBI zawiera wszystkie wyniki analizy spektralnej, nie ma więc konieczności przeprowadzania dodatkowej rekonstrukcji czy post processingu danych. Aplikacje do analizy spektralnej wykorzystują obraz SBI do uzyskania różnych wyników spektralnych.
Automatyczne wykrywanie potencjalnych polipów na obrazach kolonografii CT
Aplikacja VC VeraLook CAD* wykorzystuje technologię przetwarzania obrazów i rozpoznawania wzorów w celu identyfikowania polipów w jelicie grubym na obrazach pozyskanych podczas kolonografii CT, co pozwala na usprawnienie opisywania obrazów oraz zoptymalizowanie procedur roboczych radiologów przy jednoczesnym zwiększeniu dokładności, spójności i wydajności badań przesiewowych w kierunku raka jelita grubego. Aplikacja VeraLook jest przeznaczona do wtórnej interpretacji obrazów i ma na celu zwiększenie dokładności i wydajności pracy lekarzy.

Korzyści
*VeraLook jest znakiem towarowym firmy iCAD inc., a produkt ten jest dostępny w sprzedaży wyłącznie w Stanach Zjednoczonych.
Krótszy czas opisywania w kolonoskopii wirtualnej
Dostępna w firmie Philips aplikacja CT Virtual Colonoscopy umożliwia trójwymiarową wizualizację na podstawie obrazów jelita grubego. Aplikacja przeprowadza automatyczną segmentację wypełnionego powietrzem jelita grubego i wyświetla obliczoną linię środkową. Funkcja Perspective Filet pozwala na wyświetlanie zsynchronizowanego, pojedynczego i jednokierunkowego widoku całej powierzchni ściany jelita grubego, dzięki czemu eliminuje konieczność przeglądania danych w obu kierunkach.

Korzyści
– Graficzny interfejs użytkownika do edycji jelita grubego zapewnia sprawniejszy przebieg badania i większą funkcjonalność. – Uproszczone pływające okno dialogowe z narzędziami do edycji każdego segmentu jelita. – Nowe funkcje do nakreślania linii środkowej. – Preferencje użytkownika dotyczące kolonoskopii wirtualnej: kolor jelita grubego, metoda czyszczenia, funkcja zapisywania ustawień użytkownika. – Nowy „układ lustrzany” do stosowania w przypadku korzystania z dwóch monitorów.
Uproszczony proces tworzenia modeli, zoptymalizowany pod kątem wydruku na drukarkach 3D
System IntelliSpace Portal zawiera dedykowaną aplikację 3D Modeling przeznaczoną do tworzenia i eksportowania trójwymiarowych modeli. To zintegrowane środowisko programowe zapewnia dostęp do narzędzi segmentacji systemu IntelliSpace Portal zebranych w jednym miejscu w celu uproszczenia przebiegu pracy.

Korzyści
– Aplikacja 3D Modeling umożliwia łatwy eksport plików zestawów danych w standardowych formatach (takich jak STL) oraz w formacie 3D PDF, który można wykorzystać do wymiany informacji w obrębie placówki. – Dostępność różnych opcji eksportu usprawnia przesyłanie plików do usługi drukowania, jak również w obrębie szpitala na użytek wewnętrzny.
*W Stanach Zjednoczonych modele 3D nie zostały dopuszczone do stosowania w diagnostyce.
Usprawniony przebieg pracy w przypadku badań kontrolnych i analizy obrazów pacjentów onkologicznych
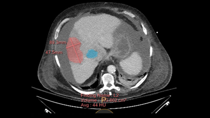
Multi Modality Tumor Tracking (MMTT) jest oprogramowaniem do post-processingu obrazów, które służy do monitorowania stanu choroby i oceny odpowiedzi na leczenie.

Korzyści
Półautomatyczna ocena ilościowa guza nowotworowego
To półautomatyczne narzędzie 3D (wolumetryczne) do oceny odpowiedzi guza na leczenie jest oparte na kryteriach EASL (European Association for the Study of the Liver) i uwzględnia dane czynnościowe z badań obrazowych ze wzmocnieniem kontrastowym.

Korzyści
Sprawniejszy przebieg badań dzięki tworzeniu (obliczaniu) dodatkowych obrazów cDWI z wartościami b, które nie zostały pozyskane
MR Advanced Diffusion Analysis (ADA) to oprogramowanie do post-processingu służące do wyświetlania, obróbki i analizy obrazów MR zależnych od dyfuzji. Aplikacja oblicza i wyświetla obrazy cDWI zgodnie z wybraną wartością b, jak również zapewnia zaawansowane narzędzia do analizy uzupełniającej i narzędzia do wizualizacji obrazów MR dyfuzji oraz map parametrycznych.

Korzyści
Aplikacja opracowana z myślą o zwiększaniu pewności, wydajności i dokładności podczas analizowania wyników badań MRI prostaty
DynaCAD Prostate* to zaawansowana, łatwa w nawigacji aplikacja do analizy obrazów MR pozyskanych za pomocą aparatów różnych producentów. Zapewnia ona niestandardowe protokoły wyświetlania z synchronizacją wszystkich obrazów, umożliwiając łatwy przegląd danych wieloparametrycznych.

Korzyści
*Aplikacja niedostępna w sprzedaży w niektórych krajach. W celu uzyskania szczegółowych informacji na temat dostępności aplikacji oraz obsługiwanych rozwiązań poszczególnych producentów należy się skontaktować z lokalnym przedstawicielem firmy Philips.
Aplikacja opracowana z myślą o usprawnieniu przebiegu pracy i zwiększeniu wydajności podczas analizowania wyników badań MR piersi.
Aplikację DynaCAD Breast* opracowano specjalnie z myślą o usprawnieniu przeglądania i analizy badań MR piersi za sprawą konfigurowalnej przestrzeni roboczej z możliwością stosowania niestandardowych protokołów wyświetlania oraz obsługą wizualizacji danych pozyskanych aparatami różnych producentów.

Korzyści
*Aplikacja niedostępna w sprzedaży w niektórych krajach. W celu uzyskania szczegółowych informacji na temat dostępności aplikacji oraz obsługiwanych rozwiązań poszczególnych producentów należy się skontaktować z lokalnym przedstawicielem firmy Philips.
Automatyczne przeglądanie obrazów MR całego ciała
Aplikacja MR MobiView łączy wiele obrazów w jeden pełnowymiarowy widok na potrzeby przeglądu skanów pozyskanych przy użyciu kilku aparatów. MobiView można wyświetlić jednym kliknięciem myszy w przeglądarce Multi Modality Viewer systemu IntelliSpace Portal. Dostępny jest również sposób niewymagający klikania, wystarczy zastosować wstępnie zdefiniowany protokół. Głównymi zastosowaniami klinicznymi tej aplikacji są obrazowanie przepływu w angiografii metodą rezonansu magnetycznego, badania skriningowe całego ciała pod kątem wykrycia przerzutów (od wysokości oczu do ud) oraz obrazowanie całego kręgosłupa w celu uwidocznienia całego ośrodkowego układu nerwowego. Uzyskaną serię obrazów można wyświetlić, wydrukować na kliszy i wyeksportować przy użyciu narzędzia zgodnego ze standardem DICOM.

Korzyści
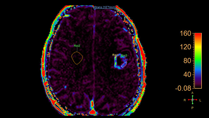
Charakterystyka zmian dzięki wizualizacji przecieku naczyniowego
Dzięki aplikacji MR Permeability można dokonać pomiaru przecieku chelatów gadolinu do przestrzeni zewnątrznaczyniowej i zewnątrzkomórkowej (EES). Jej najważniejsze zastosowanie to onkologiczne badania gruczołu krokowego i mózgu. Narzędzie to oblicza mapy parametryczne, takie jak Ktrans i Kep, które są powiązane z zachowaniem kinetycznym znacznika izotopowego.

Korzyści
Poznanie zmian metabolicznych na podstawie badania rezonansu magnetycznego
Dane spektroskopii protonowej można analizować za pomocą aplikacji MR SpectroView, która pozwala na automatyczne, oparte na anatomii generowanie odpowiednich ustawień przetwarzania na podstawie rozszerzonych danych w formacie DICOM. Pakiet obejmuje również instruktaż w celu łatwego doboru ostatecznych ustawień przetwarzania.

Korzyści
Lepszy kontrast obrazów MR w badaniach dynamicznych
Aplikacja MR Subtraction umożliwia wykonanie obliczeń subtrakcji w badaniach dynamicznych, jak również pozwala na obliczenie współczynnika transferu magnetyzacji środka kontrastowego (MTC) na obrazach na podstawie odpowiedniego zestawu obrazów wejściowych.

Korzyści
Wsparcie przy ocenie zmian chorobowych na podstawie analizy charakterystyki ukrwienia
Aplikacja MR T1 Perfusion Analysis pozwala uzyskać pomiary wzmocnienia względnego, wzmocnienia maksymalnego, czasu do osiągnięcia wartości szczytowej (TTP) i prędkości napływu środka kontrastowego. Rejestracja obrazów źródłowych w serii dynamicznej może wyeliminować artefakty wywołane ruchem oraz poprawić rozdzielczość czasową i przestrzenną danych wejściowych w celu zoptymalizowania wskaźnika SNR.

Korzyści
Aplikacja NM Review zapewnia zaawansowane środowisko przeglądania i analizy obrazów NM oraz wykonanych innymi metodami obrazowania na potrzeby klinicznej oceny planarnych badań NM, badań SPECT, SPECT/CT, PET/CT oraz PET/MR.

Korzyści
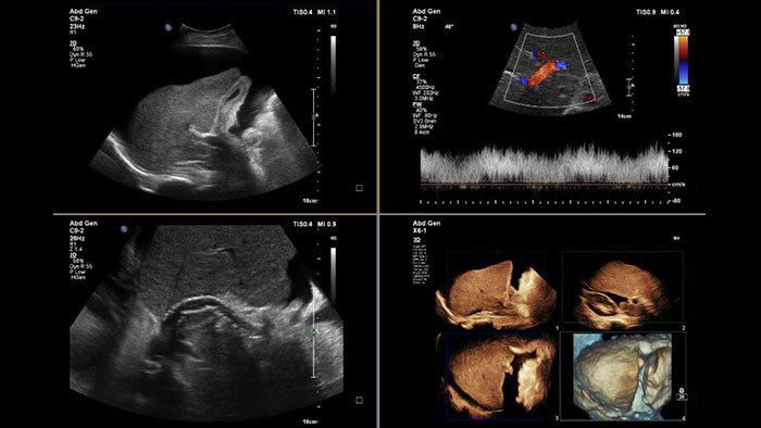
Zaawansowana wizualizacja i ocena lub pomiar objętości na obrazach ultrasonograficznych
Aplikacja US Q-App General Imaging 3D Quantification (GI3DQ) zapewnia zaawansowane narzędzia do przeglądania, przetwarzania i oceny ilościowej zestawów danych 3D. Dostępne są zaawansowane funkcje obejmujące rekonstrukcję wielopłaszczyznową, obrazowanie tomograficzne iSlice i rekonstrukcje objętościowe, a także pomiary wolumetryczne z zastosowaniem wielu różnych metod, uwzględniających także użycie narzędzi półautomatycznych. Wyniki uzyskane w taki sposób można dołączyć do dokumentacji pacjenta.

Korzyści
Lepsza widoczność naczyń
Aplikacja US Q-App Microvascular Imaging (MVI) wspomaga użytkownika podczas mapowania napływu środka kontrastowego na potrzeby badań ultrasonograficznych przeprowadzanych z użyciem kontrastu (CEUS) w ramach oceny i monitorowania zmian nowotworowych.

Korzyści
Zaawansowana analiza obrazów dwuwymiarowych, kodowanych kolorem i CEUS
Aplikacja Q-App Region of Interest (ROI) została wyposażona w dedykowane narzędzia przeznaczone do analizy przestrzennej i czasowej obszarów zainteresowania na dwuwymiarowych, kolorowych obrazach pozyskanych w badaniach ultrasonograficznych z wzmocnieniem kontrastowym* (CEUS). Opisywana aplikacja Q-App obejmuje również podstawowe narzędzia pomiarowe do pracy z obrazami 2D (pomiar odległości i powierzchni). W przypadku badań CEUS istnieje możliwość zdefiniowania wielu obszarów z kompensacją ruchu pod kątem analizy pęcherzyków środka kontrastowego w celu wygenerowania krzywych napływu/odpływu kontrastu na potrzeby oceny przepływu krwi w obrębie zmiany.

Korzyści
*Ultrasonograficzne środki kontrastowe są zatwierdzone do użytku w ocenie lewej komory z kontrastem (Left Ventricular Opacification, LVO), charakteryzowaniu ogniskowych zmian w wątrobie oraz ocenie podejrzewanego lub stwierdzonego odpływu pęcherzowo-moczowodowego u pacjentów pediatrycznych poddawanych ultrasonografii układu moczowego.
Wyświetlanie obrazów ultrasonograficznych i obrazów pozyskanych innymi metodami na tej samej stacji diagnostycznej
Aplikacja US Viewing (w przeglądarce MMV) i narzędzia do analizy są obecnie dostępne w środowisku stacji diagnostycznej do obsługi obrazów wielomodalnych. Istnieje możliwość przeglądania obrazów jedno- i wieloklatkowych w wysokiej rozdzielczości w połączeniu z innymi metodami obrazowania. Aplikacja US Viewing (dostępna w ramach przeglądarki Multi Modality Viewer) pozwala lekarzom na wykonywanie pomiarów, dodawanie adnotacji, powiększanie obszaru anatomicznego oraz regulowanie ustawień okna i poziomu. Edytowane obrazy można dodawać do badania pacjenta w celu skompletowania dokumentacji. Dostępna w systemie IntelliSpace Portal 10 przeglądarka Multi Modality Viewer obsługuje dodatkowe narzędzia Q-App służące do zaawansowanej oceny ilościowej obrazów ultrasonograficznych.

Korzyści
Kompleksowe narzędzie do przeglądania danych pozyskanych różnymi metodami obrazowania — w jednej przeglądarce
Przeglądarka Multi Modality Viewer (MMV) obsługuje wyświetlanie i post-processing obrazów i serii pozyskanych w badaniach angiograficznych. Dzięki temu można przejrzeć i przeprowadzić analizę obrazów angiograficznych oraz obrazów wykonanych innymi metodami obrazowania w celu uzyskania pełnych informacji na temat stanu pacjenta. Dostępne są następujące funkcje przetwarzania obrazów naczyń (cyfrowa angiografia subtrakcyjna) — subtrakcja, przesuwanie pikseli i rozjaśnianie obrazów w tle. Obrazy kluczowe są umieszczane w ogólnych opisach przeglądarki MMV. Przed zabiegiem interwencyjnym odpowiednie obrazy diagnostyczne (MR i/lub CT) można oznaczyć zakładkami, dzięki czemu zostaną one automatycznie pobrane po wybraniu pacjenta w systemie Allura lub Azurion.

Korzyści
You are about to visit a Philips global content page
ContinueStrona przeznaczona wyłącznie dla osób, które stosują wyroby medyczne jako profesjonaliści, w tym osób wykonujących zawody medyczne, osób działających na rzecz podmiotów ochrony zdrowia lub podmiotów prowadzących obrót wyrobami medycznymi w charakterze profesjonalnym.
Czy jesteś osobą spełniającą powyższe kryteria?