Poznaj ofertę rozwiązań zaawansowanej wizualizacji w kardiologii - MR Cardiac służących do oceny czynności mięśnia sercowego, jego objętości oraz zbliznowacenia.
Zyskaj dostęp do narzędzi umożliwiających kompleksową diagnostykę i monitorowanie chorób serca. Modele 3D, mapy i inne narzędzia do oceny ilościowej pozwalają przyspieszyć analizy i usprawnić procedury diagnostyczne. Odkryj korzyści zaawansowanej diagnostyki obrazowej w pracowni interwencyjnej dzięki integracji pakietu Allura/Azurion Interventional Suite z systemem IntelliSpace Portal, który automatycznie pobiera z portalu dane pacjentów, dla których zaplanowano zabiegi.
Trójwymiarowa segmentacja zwapnień uruchamiana jednym kliknięciem myszy
Aplikacja umożliwiająca szybką ocenę ilościowej zwapnienia tętnic wieńcowych (CAC) z zastosowaniem obliczania całkowitej masy zwapnień, skali Agatstona oraz obliczania iloczynu liczby wokseli zawierających wapń i objętości jednego woksela. Aplikacja umożliwia zautomatyzowaną dystrybucję wyników w formie papierowej lub elektronicznej w postaci niestandardowych opisów dostosowanych do potrzeb użytkownika.

Korzyści
Ocena blaszki miażdżycowej w naczyniach wieńcowych
Aplikacja CT Cardiac Plaque Assessment umożliwia ocenę miejsc nagromadzenia blaszki miażdżycowej oraz ocenę ilościową i analizę blaszki miażdżycowej w naczyniach wieńcowych.

Korzyści
Szybka wizualizacja mięśnia sercowego
Kompletny zestaw narzędzi do szybkiej wizualizacji jednej lub kilku faz cyklu pracy serca.

Korzyści
Kompleksowa analiza badań CT serca
Ta aplikacja pozwala na automatyczną segmentację całego serca w oparciu o model trójwymiarowy, jak również segmentację tętnic wieńcowych bez udziału użytkownika, umożliwiając automatyczną ekstrakcję i wizualizację całego drzewa naczyń wieńcowych.

Korzyści
Fuzja obrazów CT i NM serca
Aplikacja Cardiac CT-NM Fusion oferuje obsługę obrazowania perfuzji mięśnia sercowego (MPI).

Korzyści
Dynamiczne mapy barwne pozwalają na ocenę ryzyka choroby wieńcowej
Ta aplikacja służy do wizualizacji, oceny diagnostycznej i oceny ilościowej obrazów mięśnia sercowego ze szczególnym uwzględnieniem lewej komory. Zapewnia w szczególności pomiary ilościowe przepływu krwi przez serce na obrazach CT, w tym identyfikację obszarów mięśnia sercowego o obniżonej perfuzji, mogących wskazywać na niedokrwienie. Aplikacja obsługuje obrazy CT wykonane w projekcji osiowej, bramkowane sygnałem EKG, obejmujące wiele ujęć tego samego obszaru mięśnia sercowego w odstępach czasowych. Aplikacja CT Dynamic Myocardial Perfusion wyświetla wyniki w postaci obrazu złożonego (jeden obraz obliczony z serii obrazów wykonanych w jednym miejscu w określonym czasie).

Korzyści
Planowanie zabiegów elektrofizjologicznych
Aplikacja CT EP Planning pozwala lekarzowi na szybką identyfikację struktur anatomicznych istotnych z punktu widzenia zabiegu elektrofizjologicznego.

Korzyści
Ocena zmian w mięśniu sercowym
Aplikacja ta pozwala na wizualną i ilościową ocenę posegmentowanych obszarów zmian o niskim współczynniku tłumienia promieniowania w mięśniu sercowym na podstawie pojedynczego, bramkowanego skanu CTA (tomografia spiralna serca z bramkowaniem retrospektywnym lub protokół skanowania Step and Shoot Cardiac). Aplikację CT Myocardial Defect Assessment opracowano na podstawie zaawansowanej, automatycznej, opartej na modelu techniki segmentacji całego serca pochodzącej z aplikacji CT Comprehensive Cardiac Analysis.

Korzyści
– map kodowanych kolorem w projekcjach w osi krótkiej, – map segmentacji w projekcjach w osi krótkiej i map biegunowych wyświetlanych razem z obrazami referencyjnymi w projekcjach w osi długiej, – objętościowej wizualizacji tętnic wieńcowych wraz z mapami segmentacji wyświetlanymi jako nakładki na powierzchnię trójwymiarowego modelu serca.
Funkcja tomografu IQon Spectral CT
Korzyści

Funkcja tomografu IQon Spectral CT
Umożliwia przeprowadzanie segmentacji serca przy różnych poziomach energii, porównywanie krzywych naczyń z różnymi mapami spektralnymi oraz poprawia wizualną ocenę drożności naczynia wieńcowego.

Korzyści
Umożliwia retrospektywne wykorzystanie danych spektralnych zapisanych jako obrazy SBI. Możliwe jest przeglądanie danych spektralnych oraz identyfikacja najbardziej istotnych wyników do załadowania do konwencjonalnej aplikacji CT w celu przeprowadzenia rutynowej analizy — nawet do aplikacji, które nie zostały opracowane pod kątem obsługi danych spektralnych.

Korzyści
– Aplikacja do wirtualnej kolonoskopii Virtual Colonoscopy – Aplikacja do analizy obrazów wątroby Liver Analysis – Przeglądarka obrazów pacjentów po urazach Trauma Viewer (Acute Multifunctional Review) – Aplikacja do planowania zabiegów TAVI – Aplikacja do analizy tętnic płuc PAA – Aplikacja do analizy perfuzji mózgu Brain Perfusion – Aplikacja do analizy perfuzji narządowej Functional CT (FCT)
Funkcja tomografu IQon Spectral CT
IQon Spectral CT jest jedynym tomografem wyposażonym w aplikacje CT Spectral Light Magic Glass oraz CT Spectral Magic Glass on PACS, które ułatwiają radiologom przeglądanie i analizowanie wielu warstw danych spektralnych jednocześnie, także z poziomu systemu PACS.

Korzyści
*Dostępna w standardzie z opcją CT Spectral w systemie IntelliSpace Portal.
Obrazowanie CT na potrzeby planowania TAVI w zaawansowanej diagnostyce pacjenta
Dostęp do funkcji półautomatycznych pomiarów aorty i zastawki aortalnej przydatnych na etapie planowania zabiegu TAVI.

Korzyści
Uproszczony proces tworzenia modeli, zoptymalizowany pod kątem wydruku na drukarkach 3D
System IntelliSpace Portal zawiera dedykowaną aplikację 3D Modeling przeznaczoną do tworzenia i eksportowania trójwymiarowych modeli. To zintegrowane środowisko programowe zapewnia dostęp do narzędzi segmentacji systemu IntelliSpace Portal zebranych w jednym miejscu w celu uproszczenia przebiegu pracy.

Korzyści
– Aplikacja 3D Modeling umożliwia łatwy eksport plików zestawów danych w standardowych formatach (takich jak STL) oraz w formacie 3D PDF, który można wykorzystać do wymiany informacji w obrębie placówki. – Dostępność różnych opcji eksportu usprawnia przesyłanie plików do usługi drukowania, jak również w obrębie szpitala na użytek wewnętrzny.
*W Stanach Zjednoczonych modele 3D nie zostały dopuszczone do stosowania w diagnostyce.
Wszechstronna analiza naczyń na potrzeby planowania zabiegów
Aplikacja Multi Modality Advanced Vessel Analysis (AVA)* służy do oceny i analizy ilościowej różnych rodzajów zmian naczyniowych uwidocznionych w badaniach CRA i MRA. Narzędzie AVA umożliwia wykonywanie analizy różnymi metodami i oznaczanie różnych zmian naczyniowych, a także ułatwia nawigację w obrębie wielu rozpoznanych nieprawidłowości. Aplikacja CT Advanced Vessel Analysis (AVA) Stent Planning zapewnia użytkownikowi dostęp do danych ilościowych oraz parametrów stentu w celu wygenerowania informacji niezbędnych do zaplanowania zabiegów interwencyjnych, takich jak EVAR.

Korzyści
*W porównaniu ze stacją diagnostyczną EBW w wersji 4.x firmy Philips.
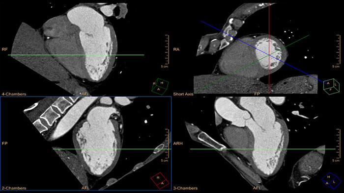
Kompleksowy przegląd i analiza ilościowa badań MR serca.
Aplikacja MR Cardiac umożliwia wizualizację jednej, kilku lub wszystkich serii obrazów serca z użyciem protokołów wyświetlania, w tym z synchronizacją z fazami cyklu pracy serca. Intuicyjna dedykowania przeglądarka umożliwia szybkie zapoznanie się z ogólnymi wynikami badań serca oraz zadecydowanie, która analiza jest wymagana w pierwszej kolejności. Możliwe jest dokonanie wizualnej oceny przy użyciu wykresu kołowego (ang. bull's eye) zgodnego z zaleceniami AHA.
Pakiet pozwala na wykonywanie kompleksowej objętościowej analizy czynności komór uwzględniającej parametry takie jak frakcja wyrzutowa, ruch ścian serca, ich grubość i pogrubienie. Oferuje ona identyfikację wzmocnienia przestrzennego w oparciu o zmiany natężenia sygnału oraz funkcję zakładki, która pozwala oznaczyć ramką dowolny widok danych, które są istotne i wymagają zapisania lub przekazania innym lekarzom. Aplikacja MR Cardiac umożliwia również przeprowadzanie szybkiej analizy czynnościowej metodą ALEF (Areal Length Ejection Fraction).

Korzyści
Ocena cech tkanki mięśnia sercowego
Aplikacja MR Cardiac Quantitative Mapping ułatwia ocenę i przegląd cech tkanki mięśnia sercowego w wielu definiowanych przez użytkownika, uwzględniających natężenie pola, tabelach przeglądowych.

Korzyści
Identyfikacja zmian natężenia sygnału w dynamicznych badaniach MR serca
Aplikacja MR Cardiac Temporal Enhancement ułatwia analizę przepływu krwi przez serce dzięki wykorzystaniu dynamicznych obrazów serca (wielowarstwowych, wielodynamicznych). Aplikacja generuje wyniki w różnych formatach wyjściowych, umożliwiając przegląd zidentyfikowanych zmian czasowych.

Korzyści
Szczegółowa wizualizacja 3D posegmentowanego serca
Aplikacja MR Cardiac Whole Heart przeprowadza automatyczną segmentację serca na poszczególne struktury składowe (takie jak lewa komora, prawa komora, przedsionki i naczynia wieńcowe).

Korzyści
Wizualizacja i analiza ilościowa dynamiki przepływu krwi
Aplikacja MR QFlow umożliwia wizualizację i ocenę ilościową danych przepływu. Tworzone są dwuwymiarowe, kodowane kolorem mapy przepływu w formie nakładek na obrazy anatomiczne, wykorzystywane na przykład do obliczania objętości wyrzutowych. Aplikacja QFlow jest również integralną częścią pakietu MR Cardiac Suite, umożliwiając opisywanie badań w połączeniu z innymi narzędziami analitycznymi, takimi jak narzędzie do oceny czynnościowej.

Korzyści
NM Astonish Reconstruction to zaawansowany algorytm rekonstrukcji, w którym wykorzystano opracowaną przez firmę Philips technikę zharmonizowanego, podwójnego filtrowania, mającą na celu ograniczenie szumów oraz poprawę rozdzielczości i jednorodności rekonstruowanych obrazów. Ponadto w celu korekcji tłumienia w połączeniu z aplikacją NM Astonish Reconstruction można stosować mapę tłumienia wygenerowaną z użyciem tomografii komputerowej. Dzięki poprawie stosunku sygnału do szumu można uzyskać obrazy odpowiedniej jakości przy potencjalnym skróceniu czasu skanowania SPECT, co pozwala zwiększyć liczbę wykonywanych badań, poprawić komfort pacjentów podczas badania i ograniczyć powstawanie artefaktów ruchowych.

Korzyści
Zaawansowana ocena mięśnia sercowego
Pakiet NM Cedars Sinai Cardiac Suite 2015 oferuje kompleksowe narzędzia do oceny ilościowej mięśnia sercowego przeznaczone do przetwarzania danych z bramkowanych badań SPECT, badań perfuzji i scyntygrafii puli krwi wykonywanych techniką SPECT oraz ilościowych badań PET. Szeroko znany lekarzom na całym świecie pakiet aplikacji Cedars-Sinai Cardiac Suite 2015 umożliwia sprawne opisywanie badań z dostępną wyłącznie w tym rozwiązaniu oceną perfuzji i czynności.

Korzyści
*Produkt niedostępny w sprzedaży w niektórych krajach. Należy sprawdzić dostępność w danym kraju.
Ocena, przegląd i tworzenie raportów z badań SPECT i PET serca i naczyń
Aplikacja NM Corridor4DM 2016* jest przeznaczona do zaawansowanej oceny ilościowej układu sercowo-naczyniowego oraz wyświetlania obrazów. Oferuje inteligentną organizację pracy oraz opcje kontroli jakości. Korzystając z wielu ekranów przeglądu ze zintegrowanymi narzędziami tworzenia opisów oraz niestandardowymi szablonami, można przeprowadzać ocenę ilościową perfuzji mięśnia sercowego oraz jego czynności i żywotności. Aplikacja NM Corridor4DM w wersji 2016 zawiera ponadto narzędzia do obliczania i oceny ilościowej powierzchni lewej komory, dodatkowe bazy danych referencyjnych oraz rekonstrukcję GEMS Evolution SPECT.

Korzyści
* Corridor4DM jest zastrzeżonym znakiem towarowym firmy Invia, LLC.
Ocena dyssynchronii mechanicznej serca
Aplikacja Emory Cardiac Toolbox (ECTb) SyncTool umożliwia obiektywną ocenę dyssynchronii lewokomorowej na podstawie analizy faz cyklu pracy serca.

Korzyści
*Emory Cardiac Toolbox, ECTb, HeartFusion i SyncTool są zarejestrowanymi znakami towarowymi Emory University.
Ocena połączonych obrazów budowy drzewa wieńcowego
Aplikacja Emory Cardiac Toolbox (ECTb) HeartFusion umożliwia łączenie obrazów drzewa naczyń wieńcowych pacjenta otrzymanych na podstawie angiogramów CT serca z obrazami NM perfuzji.

Korzyści
*Emory Cardiac Toolbox, ECTb, HeartFusion i SyncTool są zarejestrowanymi znakami towarowymi Emory University.
Analiza kardiologiczna
Aplikacja NM Emory Cardiac Toolbox (ECTb) w wer 4.1 oferuje zaawansowane narzędzia do analizy SPECT i PET mięśnia sercowego, w tym porównanie danych perfuzyjnych z danymi dotyczącymi żywotności, możliwość prezentacji obrazów trójwymiarowych z nakładkami naczyń wieńcowych oraz bramkowaną trójwymiarową sekwencją filmową, granice normy dla dopasowania/niedopasowania środka kontrastowego, a także opcjonalną analizę fazową dla ruchu ścian serca i ocenę pogrubienia.

Korzyści
*Emory Cardiac Toolbox, ECTb, HeartFusion i SyncTool są zarejestrowanymi znakami towarowymi Emory University.
Większy komfort opisywania badań NM
Rozwiązanie zaprojektowane z myślą o sprostaniu wyzwaniom klinicznym i zwiększeniu wydajności podczas przeglądu obrazów PET-CT, SPECT, SPECT-CT i obrazów planarnych. Zoptymalizowany przebieg pracy pozwala na obsługę wielu badań i analizę ilościową zaobserwowanych zmian.

Korzyści
*Szczegółowe informacje na temat obsługiwanych rozwiązań poszczególnych producentów można uzyskać, kontaktując się z lokalnym przedstawicielem firmy Philips.
Aplikacja NM Review zapewnia zaawansowane środowisko przeglądania i analizy obrazów NM oraz wykonanych innymi metodami obrazowania na potrzeby klinicznej oceny planarnych badań NM, badań SPECT, SPECT/CT, PET/CT oraz PET/MR.

Korzyści
Zaawansowana wizualizacja i ocena lub pomiar objętości na obrazach ultrasonograficznych
Aplikacja US Q-App General Imaging 3D Quantification (GI3DQ) zapewnia zaawansowane narzędzia do przeglądania, przetwarzania i oceny ilościowej zestawów danych 3D. Dostępne są zaawansowane funkcje obejmujące rekonstrukcję wielopłaszczyznową, obrazowanie tomograficzne iSlice i rekonstrukcje objętościowe, a także pomiary wolumetryczne z zastosowaniem wielu różnych metod, uwzględniających także użycie narzędzi półautomatycznych. Wyniki uzyskane w taki sposób można dołączyć do dokumentacji pacjenta.

Korzyści
Kompleksowe narzędzie do przeglądania danych pozyskanych różnymi metodami obrazowania — w jednej przeglądarce
Przeglądarka Multi Modality Viewer (MMV) obsługuje wyświetlanie i post-processing obrazów i serii pozyskanych w badaniach angiograficznych. Dzięki temu można przejrzeć i przeprowadzić analizę obrazów angiograficznych oraz obrazów wykonanych innymi metodami obrazowania w celu uzyskania pełnych informacji na temat stanu pacjenta. Dostępne są następujące funkcje przetwarzania obrazów naczyń (cyfrowa angiografia subtrakcyjna) — subtrakcja, przesuwanie pikseli i rozjaśnianie obrazów w tle. Obrazy kluczowe są umieszczane w ogólnych opisach przeglądarki MMV. Przed zabiegiem interwencyjnym odpowiednie obrazy diagnostyczne (MR i/lub CT) można oznaczyć zakładkami, dzięki czemu zostaną one automatycznie pobrane po wybraniu pacjenta w systemie Allura lub Azurion.

Korzyści
You are about to visit a Philips global content page
ContinueStrona przeznaczona wyłącznie dla osób, które stosują wyroby medyczne jako profesjonaliści, w tym osób wykonujących zawody medyczne, osób działających na rzecz podmiotów ochrony zdrowia lub podmiotów prowadzących obrót wyrobami medycznymi w charakterze profesjonalnym.
Czy jesteś osobą spełniającą powyższe kryteria?