Technologia xMATRIX pozwala użytkownikowi zobaczyć więcej szczegółów, uzyskać pełniejsze informacje oraz stawiać czoła większym wyzwaniom, co przekłada się na skrócenie czasu trwania badań oraz ich sprawny przebieg z korzyścią zarówno dla lekarzy, jak i pacjentek.
xMATRIX jest najnowocześniejszą i najbardziej wszechstronną technologią firmy Philips wykorzystywaną w głowicach ultradźwiękowych aktualnie dostępnych w sprzedaży. Technologia xMATRIX umożliwia łatwą i szybką akwizycję danych objętościowych, zapewnia liczne możliwości przetwarzania oraz pozwala na pozyskiwanie widoków niedostępnych w przypadku obrazowania 2D — a to wszystko przy zachowaniu nadzwyczajnej jakości obrazów. Dzięki tej technologii możesz jednoznacznie oceniać struktury anatomiczne i czynność narządów, w łatwy sposób identyfikować nieprawidłowości oraz cieszyć się zaletami pełnej wizualizacji zależności strukturalnych w przestrzeni 3D.

Wystarczy naciśnięcie przycisku, aby wybrać tryb obrazowania. Technologia xMATRIX łączy wszystkie tryby w jednej głowicy: 2D, 3D/4D, Live 3D Echo, Live xPlane, Live 3D Zoom, Live 3D Full Volume, iRotate, Live MPR, MPR, tryb M, tryb dopplerowski, tryb dopplerowski w kolorze i CPA. Wstrzymywanie akwizycji w celu zmiany głowicy nie jest już konieczne. Ultrasonograficzne dane objętościowe pozyskane za pomocą głowicy xMATRIX można przeglądać w lokalnym systemie PACS w taki sam sposób, jak obrazy TK i MR. Po akwizycji danych wystarczy nacisnąć przycisk, a system pozyska obrazy w osiach X, Y, Z lub sekwencje obrazów MPR iSlice, a następnie prześle je do systemu PACS. Można wyświetlać i przetwarzać dane oraz rekonstruować warstwy w dowolnym, dogodnym dla użytkownika momencie.

Głowice xMATRIX mogą być stosowane w szerokiej gamie badań, w tym w badaniach serca u osób dorosłych i dzieci, badaniach jamy brzusznej, naczyń, położniczych i ginekologicznych, a także w zabiegach interwencyjnych w obrębie układu sercowo-naczyniowego i jamy brzusznej. Głowicie xMATRIX firmy Philips są dostępne w ultrasonografie CX50 xMATRIX.

Głowice xMATRIX podnoszą poprzeczkę w kwestii wydajności obrazowania. W jednej głowicy zamknięto moc odpowiadającą 150 kartom komputerowym, a matrycę wyposażono w od 2500 do ponad 56000 elementów, z których każdy podlega próbkowaniu w celu zapewniania 360-stopniowej możliwości ogniskowania i sterowania wiązką. W połączeniu z technologią nSIGHT i technologią kryształów PureWave firmy Philips głowica ta stanowi jeszcze bardziej zaawansowane narzędzie.
Obrazowanie objętościowe w czasie rzeczywistym z wykorzystaniem technologii xMATRIX firmy Philips Technologia ta umożliwia akwizycję i rekonstrukcję obrazów pełnej objętości z częstotliwością klatek gwarantującą przekaz w czasie rzeczywistym oraz w wyjątkowej rozdzielczości izowokselowej.
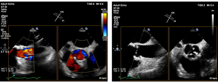
Obrazowanie Live xPlane z wykorzystaniem głowicy ultrasonograficznej xMATRIX W tym trybie obrazowania jednocześnie rekonstruowane są dwie płaszczyzny w pełnej rozdzielczości, co pozwala na uzyskanie dwukrotnie większej ilości informacji klinicznych w czasie odpowiadającym tradycyjnemu obrazowaniu 2D.
Ergonomiczna konstrukcja zapewniająca komfort obrazowania Choć głowice xMATRIX są urządzeniami o wielkiej mocy, są one jednocześnie łatwe w użytkowaniu. Ich ergonomiczna, smukła konstrukcja umożliwia łatwy chwyt i zapewnia wygodę w miarę wykonywania kolejnych zaplanowanych w danym dniu badań.

W badaniach kardiologicznych obrazowanie Live xPlane umożliwia jednoczesną akwizycję dwóch płaszczyzn na podstawie tego samego cyklu pracy serca, co pozwala na szybkie i skuteczne uzyskanie najistotniejszych informacji.


iRotate jest innowacyjną funkcją dostępną w ramach technologii xMATRIX, która poprawia jakość obrazów i usprawnia przebieg pracy. Zamiast ręcznego obracania głowicą w celu zlokalizowania okna nieprzesłoniętego przez żebra funkcja iRotate wykonuje rotację elektroniczną, aby uzyskać widok w oknie emisji ultradźwięków. W przypadku głowicy X5-1 funkcja iRotate umożliwia zrealizowanie pełnego protokołu echokardiografii obciążeniowej, włącznie z akwizycją 4-jamowych, 2-jamowych i 3-jamowych obrazów 3D, z wykorzystaniem tego samego okna następującego po wysiłku szczytowym, bez konieczności poruszania głowicą. Dzięki temu nadgarstek operatora nie jest narażony na przeciążenia, a dodatkowo taka akwizycja pozwala uniknąć efektu skrócenia w perspektywie powiększonej lewej komory występującej u pacjentów z niewydolnością serca.
Głowice xMATRIX obsługują wszystkie możliwe tryby obrazowania oraz wszystkie populacje pacjentów:
Jedna uniwersalna głowica do echokardiografii 2D i 3D — korzyści kliniczne i usprawnienia przebiegu pracy Andreas Franke, kierownik oddziału kardiologii i internistycznej intensywnej terapii, Klinikum Siloah, Hannover, Niemcy
Studium przypadku — relacja na żywo: rozpoznanie ubytku przegrody międzyprzedsionkowej John D Carroll, kierownik ośrodka leczenia chorób sercowo-naczyniowych i kardiologii interwencyjnej, Uniwersytet Kolorado, Aurora, Kolorado
You are about to visit a Philips global content page
ContinueStrona przeznaczona wyłącznie dla osób, które stosują wyroby medyczne jako profesjonaliści, w tym osób wykonujących zawody medyczne, osób działających na rzecz podmiotów ochrony zdrowia lub podmiotów prowadzących obrót wyrobami medycznymi w charakterze profesjonalnym.
Czy jesteś osobą spełniającą powyższe kryteria?