Rozwiązania pozwalające uzyskiwać doskonałej jakości obrazy w krótkim czasie to już absolutne minimum, ale prawdziwa pewność diagnostyczna wymaga głębszego wglądu w dane, który zapewniają dostarczane przez firmę Philips predefiniowane protokoły badań, narzędzia do interpretacji danych klinicznych, kompleksowy wgląd w stan pacjenta, wspomaganie podejmowania decyzji w oparciu o dane genomiczne i wiele innych rozwiązań. Rezultat? Większa standaryzacja procedur i przebiegu pracy, powtarzalne obrazy wysokiej jakości, a w końcowym rozrachunku — jeszcze lepsza opieka nad pacjentami.
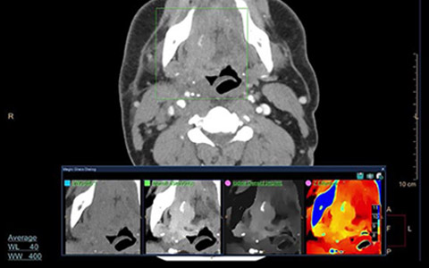
Zobacz, jak współpraca firm Philips i CARTI przynosi korzyści pacjentom wymagającym skomplikowanego leczenia i jak tomograf IQon Spectral CT zmienił jego przebieg*.
Dla zespołu opieki zdrowotnej Lahey Health uzyskiwanie dobrych wyników diagnostyki obrazowej oznacza wdrażanie innowacji wykraczających poza tradycyjną modernizację sprzętu, a stawianie na kompleksowe rozwiązania o wyższej rentowności inwestycji poprzez stosowanie nietuzinkowych modeli biznesowych i koncentrowanie się na innowacjach zwiększających komfort pacjentów*.
* Wyniki uzyskane w tej placówce nie pozwalają przewidzieć wyników z innych placówek. W innych placówkach wyniki mogą być inne.

Artykuł Istotne innowacje i czynnik ludzki w opiece zdrowotnej: opinie lekarzy na temat innowacyjnych rozwiązań firmy Philips pomagających w uzyskiwaniu lepszych wyników obrazowania i opieki nad pacjentami.

Co stanowi największe wyzwania Twojej placówki w dziedzinie systemów informatycznych? Niezależnie od tego, czy jest to integracja systemów w obrębie placówki, czy zwiększenie standaryzacji opieki, firma Philips zapewnia ścisłą współpracę w oparciu o istniejącą infrastrukturę i obowiązujące procesy w celu dostarczania rozwiązań pomagających w przekształcaniu systemów służby zdrowia. Aby skontaktować się z nami, wypełnij poniższy formularz.
You are about to visit a Philips global content page
ContinueStrona przeznaczona wyłącznie dla osób, które stosują wyroby medyczne jako profesjonaliści, w tym osób wykonujących zawody medyczne, osób działających na rzecz podmiotów ochrony zdrowia lub podmiotów prowadzących obrót wyrobami medycznymi w charakterze profesjonalnym.
Czy jesteś osobą spełniającą powyższe kryteria?